Conservative approach for the treatment of anterior tooth wear

conservative-treatment-anterior-tooth-wear alternate text for this image

The intention of this article is not to discuss all the factors involved in formulating a diagnosis and treatment plan for anterior tooth wear, but rather to demonstrate the favourable outcome one can achieve when implementing a minimally invasive treatment option. The option involves optimal orthodontic tooth positioning using a clear aligner system followed by … Read more

A comparative review of thermoformed and 3D-printed shape memory polymer systems

Fig 5 alternate text for this image

Abstract Clear aligner therapy has significantly transformed orthodontic practice by providing an aesthetic and removable alternative to traditional fixed appliances. Conventional thermoformed aligners, although widely successful, are limited by force degradation, stress relaxation, and deformation under intraoral conditions, affecting treatment predictability. Recent advances in material science, particularly the emergence of 3D-printed shape memory polymers (SMPs), … Read more

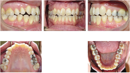
PerfectSmile clear aligners: A significant evolution in the orthodontic field

manay-thumbnail alternate text for this image

Technological advancement impacts every single aspect of our lives, and has greatly benefited the dental industry, including significant evolutions in the orthodontic field. These developments incorporate treatments with removable and fixed devices that are used in a variety of cases from different age groups, following concepts from both the European and American trends in orthodontic … Read more

Democratizing clear aligner access for a healthier smile

Woman Taking off Her Clear Retainer in the Bathroom Mirror alternate text for this image

As we witness the rapid growth of the clear aligner market, projected to reach $30 billion by 2030,1  it’s imperative to address a pressing issue: the lack of access to these transformative dental solutions for many individuals. Despite increasing demand and technological advancements, the cost and complexity of clear aligners remain significant barriers for those … Read more

Achieving aesthetic excellence: A fully digital approach to midline diastema closure with orthodontic and restorative integration

albatish-thumbnail alternate text for this image

Abstract Closing a midline diastema without addressing key smile components—such as tooth colour, shape, size, gingival positions, and alignment—can result in restorations that look out of place and disproportionate to the surrounding teeth. A more holistic, interdisciplinary approach using digital planning is essential for achieving optimal results. This method not only visualizes both orthodontic and … Read more

The AI-enhanced “Perfect Smile Retainer”

ouellette 1 alternate text for this image

Artificial intelligence is like a divine power that can turn dust into gold. The progress in machine learning and artificial intelligence is revolutionizing all aspects of human life. It streamlines tasks, saves time, reduces costs, and frees humans from the hassle of tiring activities. Many believe that the advent of AI programs is the next … Read more

Smile Design with Clear Aligners

Chong fig 5 case 2 A-C alternate text for this image

The contemporary practice of orthodontics focuses not only on achieving ideal alignment and occlusion, but also on how the teeth relate to the soft tissues of the face. Smile arc is one of the most important factors when assessing and optimizing smile esthetics. In the pursuit of attaining a well-treated orthodontic case, the smile arc … Read more