Temporal Space Abscess Misdiagnosed As Temporal Arteritis: A Case Report

wong feature alternate text for this image

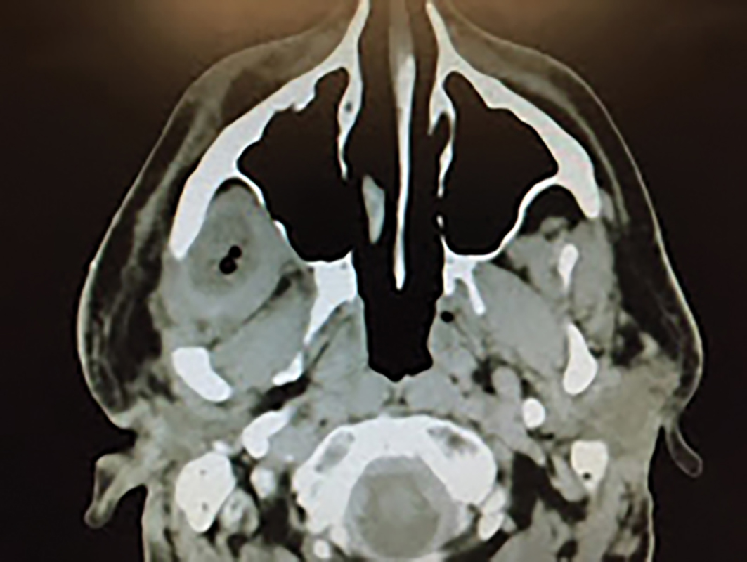
Introduction Temporal space abscesses are rare deep neck infections1 that can easily create challenges in diagnosis. Early presenting symptoms of persistent and unrelenting facial pain and trismus have been misdiagnosed as temporomandibular joint dysfunction,2,3,4,5 parotitis,2,3,5,6 trigeminal neuralgia5,7 and diabetic neuropathy in uncontrolled diabetes.5 A temporal space abscess caused by a neck abscess from an attempted … Read more

Dynamic Endodontic Navigation: A Case Report

Nahmias feature image alternate text for this image

As a child growing up in the sixties, I was a great fan of the famous “Star Trek” television show starring William Shatner. The original series debuted on September 8, 1966. The show tells the tale of the crew of the starship Enterprise and its five-year mission “to boldly go where no man has gone … Read more

The Largest Nasopalatine Duct Cyst: A Case Report and Literature Review

airway dentistry

Abstract The nasopalatine duct cyst is the most common non-odontogenic developmental cysts. This case report presents a nasopalatine duct cyst in a patient with a history of orofacial pain over one year with multiple doctor visits and only limited success. This nasopalatine duct cyst is the largest reported to date. It was treated with enucleation … Read more

Biomechanical Implant Failures Management of an Implant Failure: A Case Report

Implant Failure

Introduction The goal of modern dentistry is to restore the patient’s oral health to normal contour, function, aesthetics and speech. 1 The era of dental implants have ushered in a new treatment concept where the patients no longer have to use removable dentures, or sacrifice healthy adjacent teeth. The success and predictability of osseointegrated implants … Read more

Immediate Implant: A Case Report

Immediate Implant

Introduction Successfully treating patients with missing or non-restorable teeth with a fixed prosthesis can be one of the finest services rendered to dental patients. This art and science of replacing missing teeth or those with hopeless prognosis requires a thoughtful combination of many aspects of dentistry, including patient education, prevention of further dental disease, sound … Read more

Implant Dentistry for Complete Maxillary Rehabilitation: Two Innovative Protocols

Tremblay 12 alternate text for this image

To view figures, click on figure mentions throughout the article. Patients who present with a terminal natural dentition in the maxillary arch offer both surgical and restorative challenges for the clinician. A formal diagnostic protocol is essential to determine viable treatment options and to facilitate the desired esthetic and functional outcome. This can include impressions … Read more

Clinical Brief: Successful Endodontic Treatment

Clinical Brief Successful Endodontic Treatment alternate text for this image

Dr. Marina Polonsky is back to talk about successful endodontic treatment, a topic also found in her feature article in May Oral Health. In this latest Clinical Brief video, Dr. Marina takes us more in depth of the case, her choices and the success she found. Watch last week’s video – ODA ASM150 Overview Read … Read more

Cone Beam Computed Tomography (CBCT) in Endodontics: A Case Series

Nahmias Figure12 alternate text for this image

Clinical examination and radiographic imaging are the key steps in diagnosis and treatment planning in endodontics. Up until recently, intraoral, panoramic, and occlusal radiographs were the only imaging modalities available to dentists to rely on. These radiographs are two-dimensional (2D) images of three-dimensional (3D) structures with their inherent limitations such as image distortion and superimposition. … Read more

Enhanced Properties of a Classic Material: Clinical Case Report

Aznar Figure 2 alternate text for this image

Female patient, 47 years old, presented with a clinical picture of extensive iatrogenic perforation of the furcation region of the dental element 36 (Fig. 1), associated with radiographic bone loss, vestibular fistula and pain on palpation. The patient reported history of having been previously subjected to an urgent intervention in this tooth by other professional, … Read more

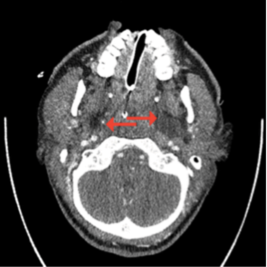
Ludwig’s Angina – A Case Report

sham-fig-3a alternate text for this image

Introduction Ludwig’s angina was first reported by Wilhelm Frederick von Ludwig in 1836. It is a severe and quickly spreading cellulitis characterized by significant involvement of the submandibular, sublingual and occasionally submental space. This condition is potentially fatal if not treated aggressively and promptly due to the cellulitis leading to airway compromise. 1,2 Prior to … Read more

Prep”Less” Veneers: Treating Tooth by Tooth Instead of Case by Case

image013 alternate text for this image

Abstract The patient treated in this report was not pleased with the appearance of his smile and his confidence to smile was affected. He desired ‘bigger’ and ‘whiter’ teeth. As with any elective cosmetic restorative procedure, a minimally-invasive approach providing the patient with a predictable, long-term result was indicated. The author utilized a combination of … Read more

A Stepwise Approach: Restoring a Failed Maxillary Anterior Tooth

dabuleanu-40-final-abutment-made-out-of-zirconium-oxide alternate text for this image

Introduction This case report will discuss a staged approach for the delivery of implant therapy in the upper anterior jaw. A crown-down surgical approach was used to help determine the ideal prosthetic location for implant placement. Cone beam CT imaging was utilized to visualize the available volume of bone. Treatment was delivered in stages, to … Read more

Case Report: The Titanium Smile

Add a description…5×13 3i alternate text for this image

Achieving ideal esthetics in addition to restoring the patient’s function is every clinician’s goal. Successful outcomes in restorative dentistry are well documented in publications and readily displayed in practice promotional materials. Although most patients are happy with the treatment outcomes, achieving highly esthetic result can be challenging in implant dentistry. Successful implant integration does not … Read more

Dynamic Surgical Guidance to Facilitate Dental Implant Placement: A Case Report

Bashutski Fig16A alternate text for this image

Introduction The long-term success of dental implant surgery is dependent, in part, on accurate planning and placement of the implant.1 Currently, there are many digital planning systems available to aid the clinician in pre-operative treatment planning, although the main challenge with these planning systems is to accurately transfer the digital plan to the clinical situation. … Read more