Ultra Fine Grain Titanium Dental Implants, Initial Clinical Observations

ABSTRACT
Ultra Fine Grain (UFG) titanium is a new improved form of the old classic Commercially Pure (CP) implantable titanium we as dentists are familiar with. It is produced through a process known as Severe Plastic Deformation. This novel patented process, positively impacts the structural strength of titanium by reducing the grain dimensions to nanometer size. As a result of this new process, physical failure of UFG titanium dental implants are expected to decline when compared to CP titanium dental implants used today. Bone cell colonization studies reveal another benefit when compared to CP titanium, higher bone cell numbers per unit area. This improvement in cell colonization can positively impact the healing process. This article describes two years of clinical observations of Ultra Fine Grain titanium, utilized for the very first time as a dental implant material in North America.


INTRODUCTION
UFG titanium was developed through a joint research effort of American and Russian scientists at Los Alamos National Laboratories and UFA Aeronautical University in Russia.1 By processing traditional Commercially Pure titanium (CP titanium) through a novel patented process known as Severe Plastic Deformation, a new UFG titanium is created.2 The effects of this process on CP titanium result in a new UFG titanium, comprising of desirable nanometer sized grains of titanium. The UFG titanium is chemically the same as CP titanium but is physically different due to the much smaller grain size. This new titanium is inherently much stronger when compared to its traditional predecessor, CP titanium because of the smaller grain size. UFG titanium’s superior properties come from the remarkable gain in strength without increasing undesirable brittleness.3 Subsequent bone cell studies have also shown that bone cells show greater numbers of colonies on the UFG titanium surface when compared to traditional CP titanium, resulting in an attachment increase between bone and implant surface.4 Bone cells attach to boundaries between titanium grains. Since UFG titanium has more boundaries between the smaller grains compared to CP titanium, an increase in bone cell colonization is expected on the UFG titanium surface. This unique characteristic appears to allow the loading of UFG dental implants into function earlier because of the greater number of bone cells. Because of UFG titanium’s superior strength, failures as a result of breakage should also decrease.5 The increase in strength is especially important when using smaller implants such as the very popular one piece minis. Some small diameter dental implants are made from titanium alloy metal in order to overcome implant breakage issues. Titanium alloy dental implants use Aluminum and Vanadium to gain an increase in physical strength. Some clinicians, if given the option, would prefer to not use implantable metals made with Aluminum and Vanadium for variety of reasons not discussed in this paper. UFG titanium does not incorporate Aluminum or Vanadium which is a definite benefit for these clinicians.

DISCUSSION & RESULTS
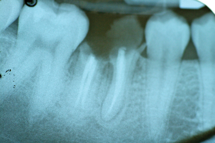
During the last two years, I have placed 65 UFG dental implants in a variety of locations in the mouth. I used these new implants to restore single to multiple missing teeth with traditional fixed prosthesis. During this two year period, UFG titanium dental implants and CP titanium dental implants were compared according to their unique clinical performance. I have been using traditional CP titanium dental implants for approximately 20 years and during this time, I have learned a lot about their familiar clinical performance characteristics. From my personal experiences with CP titanium dental implants, I was well prepared to sort out clinical differences between these two types of dental implants. These new UFG dental implants have been manufactured and prepared to the same exact dimensions and designs of CP titanium dental implants that I have been using for the last 20 years. Both UFG and CP titanium dental implants were manufactured by BASIC Dental Implant Systems, Inc., Albuquerque, New Mexico. Based on my clinical experience, dental implants are ready to restore when they meet the following criteria; 1) Lack of infection around the implant 2) The ability of bone to resist clockwise torque force of the implant to 40 Ncm. 3) Intimate bone to implant body surface contact as seen through traditional Periapical Radiographic examination. Depending on the patient and type of bone, an implant can be ready to restore using CP titanium within two to four months. This protocol has been a standard practice in my clinic for many years. Research has shown that a greater number of bone cells tend to colonize UFG titanium surfaces when compared to CP titanium surfaces. Because of these earlier findings, I wanted to know whether it is possible to restore UFG dental implants earlier, compared to the traditional CP dental implants I have been using for many years. An evaluation period of one to two months was chosen to assess UFG titanium implants for restoration loading instead of the typical period of two to four months for classical CP titanium implants.6 All of the patients treated with UFG titanium dental implants returned at 1 to 1.5 months from the time of surgical placement. At recall, it was quite evident that these UFG titanium dental implants are able to meet restoration criteria significantly earlier when compared to traditional CP titanium dental implants. Periapical radiographs of these novel implants generally show a greater degree of bone maturity at the implant surface when comparing to CP dental implants. Radiographic examinations of UFG dental implants typically show greater bone density at the implant body surface, which generally means more bone on the implant’s surface. The increase in bone cell colonization on UFG dental implants was expected because of the earlier research findings and my findings confirm this earlier research. UFG titanium dental implants have proven that they can indeed be loaded earlier compared to CP titanium dental implants. In my experience, torquing CP titanium dental implants to 40 Ncm, at 1 to 1.5 month periods usually results in movement of some implants, requiring additional time for adequate healing, necessary to meet criteria for restoration. Without exception, all 65 UFG dental implants were more resistant to torque forces at recall appointments much earlier compared to CP titanium dental implants. Breakage of dental implants has never been an issue to worry about when utilizing CP dental implants; therefore I have found no difference here. I have encountered very few broken dental implants in my practice during the past 20 years and I cannot report on the clinical benefits to me of UFG titanium dental implants as result of its increased strength properties. My experience utilizing so-called minimal diameter dental implants is only beginning and as such, the strength of these dental implants will most likely play an important role as I increase the use of these implants clinically. My preference is to avoid implanting dental titanium, which incorporates Aluminum and Vanadium to add strength at the expense of biological issues. A nice benefit of UFG titanium is that it significantly surpasses the strength properties of both CP and Alloyed titanium without Aluminum and Vanadium.7 To date, all UFG dental implants are in function and are recalled at six to 12 month intervals. UFG titanium dental implants have also been provided to other dentists in the USA, Taiwan, China and Russia. These clinicians report clinical observations similar to those described in this paper.

CONCLUSION
UFG titanium dental implants offer two significant benefits when compared to traditional
CP and Alloy titanium based dental implants. These two benefits are greater strength, without the Aluminum and Vanadium, and improved healing capability. From a clinician’s perspective, these benefits hold the promise of treating our patients faster with functioning dental implants that are less likely to break under function. This is very desirable to all dentists and patients. From my clinical observations to date, it can be said that traditional CP titanium and Alloy based dental implants can be replaced as the material of choice by UFG titanium. OH


Dr. Americo Fernandes graduated from the University of Manitoba in 1984.

He obtains a Private Practice with emphasis on Implant Dentistry, Winnipeg. Placing and restoring dental implants for over 25 years. President, BASIC Dental Implant Systems, Inc.

REFERENCES:

1,2,3. Microstructures and Properties of Ultrafine-Grained Pure Titanium. Vladimir V. Stolyarov1; Yuntian T. Zhu2; Terry C. Lowe3; Ruslan Z. Valiev, Journal of Nanoscience and Nanotechnology, June 1, 2001

4. Accelerated growth of preoblastic cells on ultrafine grain titanium, Y. Estrin, C. Kasper,S. Dietrichs and R. Lapovok. Journal of Biomedical Materials Research, 2008.

5. Comparison of Mechanical properties of medical grade titanium. Terry Lowe, Accepted for Publication, fall 2012.

6. Increased osteoblast adhesion on nanophase metals: Ti, Ti6AL4, and CoCrMo. Thomas J. Webster, Jeremiah U. Ejiofor, Biomaterials 25, 2004, 4731-4739.

7. Progress in material science. M. geetha, A.K. Singh, R. Asokamani, A.K. Gogia. Elsevier Volume 54, Issue 3, May 2009, Pages 397-425