Pathways for Predictable Impressions

If you have the opportunity to speak with a lab technician about their greatest frustrations, they would probably tell you that a key complaint is the number of impressions they receive with discrepancies. Even the literature shows that there is a universal agreement that far too many inadequate and unreadable impressions are being sent to dental laboratories.1-3 Whether it is indistinct margins, bubbles or distortion at the occlusal surface, these discrepancies make their jobs considerably more difficult to deliver the quality product the patient and doctor are certainly demanding. If you’ve had an occasion to visit a lab and inspect the multiple bins of cases surrounding you, you may have witnessed the diverse amount of impression techniques and materials. It would make sense that dentists do what works best for them and their patients.

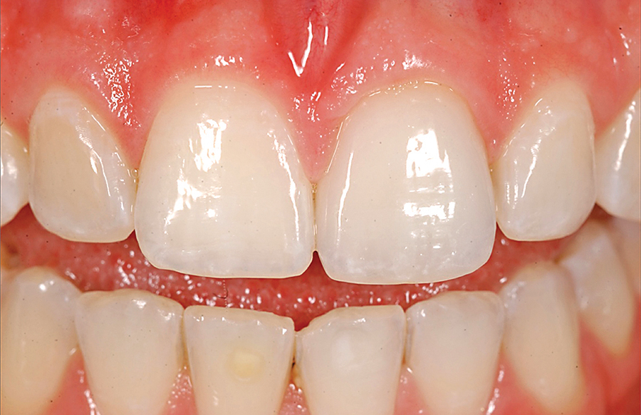
Certainly, different techniques and materials work better in certain circumstances. If we, as dentists, understand the positives and negatives of each technique, then we can come to a better understanding of when each approach would be most advantageous. In this article, we will explore a common and predictable technique for preparing the tooth and tissue for the impression and two tray delivery methods, and in which situation they should be used for optimal results. When today’s materials are used properly, the results will lead to quality margins and ultimate gingival health (Fig. 1).

PREPARING THE TOOTH AND TISSUE FOR THE IMPRESSION:
It is common sense in dentistry that one of the goals during impression taking is to establish a clear demarcation between the gingival margin and the margin(s) of the preparation. In order to achieve this, we need to have a predictable methodology that not only achieves a quality result, but also one in which it is systematized to provide excellence in a reasonable timetable for both the patient and the doctor. We need also to keep in mind that an excellent soft-tissue health is a prerequisite for predictable impressions. Inflamed tissues will bleed more readily and exhibit increased crevicular fluid flow, rendering moisture control more difficult.4

After the customary reduction and initial creation of the margin, a decision needs to be made as to where the final placement of the margin should be. This position will be determined by esthetics, decay removal, retention and plaque control. When the margin is placed at or under the gingival tissue, the need for temporary gingival retraction becomes clear.

There are two popular procedures for tissue retraction. One is the use of lasers or electrosurgery units to clear the gingival tissue. The other is the use of gingival cord to retract the tissue temporally.5

The double cord technique involves placing a cord at the time of preparation into the gingival sulcus. The size of the first retraction cord will depend on the depth of the sulcus. In a gingival sulcus that is healthy and probes 1 to 2 mm, a #00 cord works best (Ultrapak, Ultradent). The #00 cord will place the gingival margin apically about .5 mm, which is the exact distance needed to make the margin invisible and also not invade the junctional epithelium, which would cause biological width invasion (Fig. 2). Reduction to the apically positioned gingival margin can now be accomplished with minimal to no gingival trauma. Once reduction is complete, a second cord is placed. The main purpose of the second cord is to provide temporary gingival displacement. This cord should also be dipped in a vasoconstrictor or styptic solution prior to placement; this helps with hemostasis. When placing the second cord, your goal should be to see the edge of the margin prep, cord and then gingival margin. In a healthy gingival sulcus, the Ultradent #01 cord works well (Fig. 3).

After placement of the second cord is complete, it should be left in place no shorter than three minutes. After this time has passed, the secondary cord is removed leaving the first cord in place. This will leave a distinct sulcus around the tooth preparation. A light body wash can now be applied. It has been my finding that after an initial layer of light body, a slow and light stream of air works well to blow the light body into the now widened sulcus. A second layer of light body can now be syringed around the preparation. Many clinicians will find that this simplistic approach will be the solution to any problems they may have been encountering in their crown and bridge impressions. The type of tray and heavy body is dependent on the situation, region, and number of units in the procedure. The two systems that work well in our practice are a full arch tray and a dual arch tray. The result should reveal a crisp distinction between the gingival margin and the margin of the prep (Fig. 4).

FULL ARCH IMPRESSION:
There are times when a full arch impression is clinically warranted and when this situation occurs, it has been proven beneficial in our practice to mount the models on a semi adjustable articulator that accepts a facebow transfer. This allows the ability to equilibrate the models after they have been hand mounted. Clinical presentations that warrant a full arch impression include:

• Two or more preparations are included.

• When the patient does not have canine guidance.

• When envelope of function needs to be recorded and duplicated.

• When the most posterior tooth in the arch is being prepped.

• When the patient does not have good intercuspation of their teeth.

• When the patient is observed to have a hard time closing into a duplicating MIP position.

When taking a full arch impression, we use the same technique as described above, however, when working with multiple teeth, a slower set impression material is preferred to give more working time. It is also very important that the tray used is rigid and fits passively.

DUAL ARCH TRAY:
According to Christensen, in general dental practice most restorations are single units, and most dentists use dual arch trays to fabricate these restorations.6

There are many advantages to the dual arch technique when used appropriately and within the proper limitations. There are many literature references that have shown a clear advantage for using the dual arch tray. Understanding the advantages and limitations of this procedure will not only save the dentist time, it will also save them money, and provide greater patient comfort.

Wilson and Werrin first described this approach in 1983.7 Since then over 80 million dual arch trays have been sold.7 Quality is not the only attribute of this procedure — it has many benefits, not only for the doctor, but also the patient.

An extensive search of the literature has shown that the dual arch tray can provide a better marginal fit than even a full arch custom tray when used with the proper technique.8-12

What would surprise most clinicians, however, is the fact that occlusion from a dual arch tray has been shown to be more accurate than using a full arch tray in maximum intercuspation position (MIP). One study showed a 12 times greater accuracy rate with a dual arch tray than with a full arch tray.13 Once again, this has also been the author’s clinical experience and is likely due to several factors. One key reason may be that other impression techniques involve the use of some sort of bite registration material. This opens the procedure to a host of variables that could interfere with the mounting of the models. Many times the bite registration material does not fit properly on the working or opposing models and this could lead to an inadequate mounting of the models in the full arch technique.14

With the dual arch impression, this variable is removed because the bite is captured within the impression itself in MIP. Another discrepancy that is eliminated is the flexure of the mandible.

As far as patient comfort is concerned, the dual arch tray has been ra
ted more favorably by patients in several studies.8,10 This technique also minimizes the chance of a gag reflex and the patient’s mouth does not have to remain open while the impression sets.

From a cost perspective, the dual arch tray also has its advantages. In one study, it was shown the dual arch impression used about half the material that a full arch impression did.8 Chair time is also decreased, given the fact that you no longer need to take an opposing impression or a bite registration.

Given the above advantages, it would be apparent that it is advantageous to use the dual arch impression technique when ever possible. However, this technique unfortunately also has some limitations. For instance, the dual arch technique should only be used for a maximum of two prepared teeth, and there should also be unprepared anterior and posterior stops to prevent flexure of the single use, disposable articulator that is commonly used in this procedure. It is also important that the patient has existing canine guidance because of the limitations of eccentric movements with this technique. It is possible to introduce balancing interferences into the restoration because there is no recording of the contralateral arch.

In order for the dual arch technique to be successful, a systematic protocol needs to be established in your practice. The following checks and balances should be followed:

• Does the patient have existing canine guidance?

• Can we achieve a centric stop posterior and anterior to the preparation?

• Does the patient have good intercuspation on the side of the mouth we are prepping?

• Does the patient have the capability of duplicating MIP in their own mouth, even with the presence of anesthesia?

• Are we prepping two units or less?

If the answers to these questions are “yes”, then a dual arch technique can produce outstanding results. After determining that the patient has qualified for this technique, we have found the following procedure works well:

• First we examine the patient’s contralateral side in MIP (Fig. 5), and we make a mental picture of how it looks. If there is any concern that the patient is not in MIP, we verify this with a shim-stock.

• After the preparation of the tooth and tissue, we “try in” the dual arch tray with the patient and verify that it is not being impinged by tissue or teeth. Care must be taken with a patient that has a rapidly ascending ramus to ensure that tray can seat fully (Fig. 6). It is very important that flexing of the tray does not occur during the process of taking the impression. Many studies have shown that flexure is more likely to occur with a plastic disposable tray (research, Cox, Cho, Larson). Therefore, in our office we use an aluminum tray that has no elastic memory to cause distortion [Quad-Tray Xtreme, Clinician’s Choice] (Fig. 7).

• After try in of the dual arch tray, the second cord is removed, creating a distinct sulcus. The entire quadrant is dried, making sure it is free of debris, saliva and that there is complete hemostasis. During this process, a second assistant is loading the Quad-Tray Xtreme. The impression material for this technique needs to be rigid to prevent flex when the lab technician is pouring the stone. Affinity InFlex impression material (Clinicians Choice) is specially formulated for the dual arch impression technique and works well in our practice (Fig. 8).

CONCLUSION:
The main reason for the popularity of the dual arch tray technique is the ability to capture the master impression, opposing-arch impression and an interocclusal record at the same time, saving time and money for the dentist, and also providing greater patient comfort, since impression material is in their mouth only once.OH


Dr. David Newkirk received his Dental Degree from Loyola University Dental School and is currently engaged in full time private practice of restorative and cosmetic dentistry in Naperville, Illinois. He is a former clinical assistant professor of restorative dentistry at Northwestern University Dental School. He is a member of the American Dental Association, American Equilibration Society, and the American Academy of Cosmetic Dentistry.

A strong background in occlusion and an understanding of the delivery of quality, comprehensive dentistry has helped form Dr. Newkirk’s practice philosophy which also involves working with a highly trained and specialized staff. Dentistry Today has listed him as one of the top leaders in continuing education.

In addition to speaking throughout the United States, he has had the honor of lecturing internationally in Australia, Canada, Great Britain, and New Zealand. Dr. Newkirk manages his speaking engagements and hands-on courses through his company Upward Dental.

Oral Health welcomes this original article.

REFERENCES:

1. Christensen GJ The state of fixed impressions: room for improvement. J Am Dent Assoc. 2005;136(3):343-346.

2. Christensen GJ. Laboratories want better impressions. J Am Dent Assoc. 2007;138(4):527-529.

3. Miller MB. Impression taking–is it a lost art? Gen Dent. 2007;55(5): 392-393.

4. Lee E. Impression-taking considerations for predictable indirect restorations. Pract Proced Aesthet Dent. 2003;15(6):454-457.

5. Christensen G. The State of Fixed Prosthodontic Impressions. JADA, March 2005,Vol. 136, pg 343-346

6. Christensen GJ. Ensuring accuracy and predictability with double-arch impressions. J Am Dent Assoc 2008; 139(8):1123–5.

7. Wilson G, Werrin SR. Double arch impressions for simplified restorative dentistry. J Prosthet Dent 1983; 49: 198-202.

8. Lane DA., Randall RC., Lane NS., Wilson NHF., A clinical trail to compare double arch and complete arch impression techniques in the provision of indirect restorations. J Prosthet. Dent, February 2003; 89(2): 141-145.

9. Larsen TD, Nielson MA, Brackett WW. The accuracy of dual-arch impressions: A pilot study. J. Prosthet. Dent, June 2002; 87 (6): 625-627.

10. Ceyhan JA., Johnson GH., Lepe X., Phillips KM., A clinical study comparing the three-dimensional. accuracy of a working die generated from two dual-arch trays and complete-arch custom tray. J Prosthet. Dent.

11. Davis RD., Schwartz RS., Dual-arch and custom tray impression accuracy. Am J Dent. 1991;4:89-92

12. Cox JR., Brandt RL, Hughes HJ., A clinical pilot study of the dimensional accuracy of double-arch and compete arch impressions: J Prosthet Dent. 2002;87:510-515

13. Parker MH., Cameron SM., Hughbanks JC., Reid DE., Comparison of occlusal contacts in maximum intercuspation for two impression techniques. J Prosthet Dent. 1997; 78:255-259

14. Boksman L., Optimizing occlusal results for crown and bridge prostheses: Dentistry Today, January, 2011:155-157