Practice Management: Refining Dentistry – A Prescription for Success

1000113761-1000248877 alternate text for this image

The Balance MythI have continually been amazed at how many dentists are unhappy and unfulfilled. Truthfully, I haven’t met a single dentist or anyone else who has achieved “a balance,” where every aspect of life harmonizes and falls into place for a sustainable period of time. When you think about it, life is too dynamic … Read more

Campaign recognizes outstanding service

Dr. Frank Stechey, P.A.N.D.A., and Melissa Summerfield, Publisher, Oral Health & Dental Practice Management.

Chicago — Keep America Smiling, a campaign dedicated to recognizing people and organizations within our industry who give their talents and time to increase the oral health of the country or who assist disadvantaged people in time of need, was officially launched in Chicago, IL at the annual Mid Winter Meeting.Hosting a gala reception with … Read more

Recognizing Service and Commitment

1000113787-1000248881 alternate text for this image

Gracemarie Stephens, age 46, endured domestic violence attacks for 24 years. Married at 16, she incurred her first domestic violence beating when she was 18-years-old. Although the beatings continued, she stayed with her husband for 15 years, thereafter drifting in and out of violent domestic relationships.Five years ago, Stephens courageously left that painful life behind … Read more

Henry Schein Arcona celebrates new facility

1000113805-1000248883 alternate text for this image

Niagara-on-the-Lake — One of Canada’s largest dental distributors has a new home in picturesque Niagara-on-the-Lake, ON. Henry Schein Arcona’s new, state-of-the-art head office and distribution centre was christened by more than 450 guests from across Canada.Completed in October 2001, the 127,000-sq-ft facility will stock 38,000 items from 700 manufacturers, making it the largest dental products … Read more

News (March 01, 2002)

1000147227-1000248884 alternate text for this image

Kodak Canada Inc. would like to recognize the significant contribution that John Paterson (R) and Haynes Darlington have made to Kodak and the dental industry. Both John and Haynes announced their retirement from Kodak in January of this year after many years of exemplary service. Kodak Canada Inc. wishes them every success in their retirement.

Calendar of Events 2002

1000168688-1000248880 alternate text for this image

MARCHMarch 13 – 16 2002The Academy of Laser Dentistry 9th Annual Conference & ExhibitionSan Diego — La Jolla, CAContact: Tel: (954) 346-3776 www.laserdentistry.orgMarch 21 – 24Hinman Dental MeetingAtlanta, GAContact: (404) 231-1663www.hinman.orgAPRILApril 4 – 7California Dental AssociationAnaheim, CAContact: (916) 443-3382, ext. 4470www.cda.orgApril 10 – 14American Association of Endodontics Chicago, ILContact: 800-872-3636or (312) 266-7255www.aae.orgApril 18 – 20Ontario … Read more

SLSA 2002: Learning Assessment

1000110442-1000240213 alternate text for this image

Self Learning/Self Assessment 2002 will commence in the January 2002 issue of Oral Health. The format will continue to be four items per month for 10 months, followed by a 15-question quiz in the November 2002 issue.Dentists who wish to obtain CE credits from SLSA in 2001 are reminded that the completed 2001 quiz card … Read more

Finance: A proactive transition planning check list

1000110491-1000240672 alternate text for this image

The Oxford Concise Dictionary defines pension as a periodic payment made especially by governments, companies, or employers in consideration of past services or a relinquishment of rights. A broader definition of the word pension in my view would include all the automatic programs (stock options, deferred profit sharing, retirement compensation arrangements, the actual pension itself) … Read more

Transition Management: Do You Need to Transition Your Practice?

1000110493-1000240685 alternate text for this image

The simple act of selling your dental practice will absolutely not be an option for thousands of dentists over the next five to 10 years. The historical sequence of events that have lead almost every dentist to retirement in the past will not work in the future, in fact parts of that familiar process are … Read more

Office Design: Environ-dentally balanced

1000110498-1000240684 alternate text for this image

A dental office is an expression of the practitioners’ philosophy and should reflect the times and surroundings. It has to be environ-dentally balanced. With this principle, Dr. Brian Kalliecharan and team established their practice in Barrrie, ON. The practice, named after its website, adentaloffice.com, is host to state-of-the-art computer technology encompassing digitized radiography, cosmetic imaging … Read more

Forensic Dentistry: Identifying the Victims of 9/11

1000110499-1000240687 alternate text for this image

The official count of the dead and missing in the attack on the World Trade Center has fluctuated and fallen sharply over the past few weeks, from a high of 6,500 to less than 3,900. Officials say, as duplications and errors on lists are corrected, that number could continue to drop, perhaps to 3,000. An … Read more

Letters to the Editor (December 01, 2001)

Re: Editorial entitled, “One Phase or Two Phase Orthodontic Treatment – Which is Best?” by Randy Lang, DDS, D. Ortho. Oral Health, September 2001.Routinely, my days begin with seeing and retreating patients with TM disorder, collapsed arches, vertically inclined maxillary incisors and retruded mandibles. I often wonder, while eating my popcorn and thinking about the … Read more

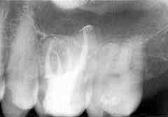
ENDODONTICS: The Thermo Hydraulic Condensation Technique

FIGURE 4 Lateral canals filled with sealer and/or gutta-percha is evident with the THC technique can be seen in the obturation of a plastic tooth A and clinically B.

The quest for technological advances and improvement on existing techniques is actively sought after in dentistry. Who does not want to do things better, faster, and more effectively? For decades, we have sought to improve obturation concepts, instruments and procedures to dramatically make them simpler and better.Dr. Herbert Schilder in 19671 gave birth to a … Read more

ENDODONTICS: Digital Documentation and the Dental Operating Microscope

FIGURE 29 16x magnification of cavity preparation viewed with #1 mirror.

The surgical operating microscope has become an integral part of the medical field since 1957. It has become a necessity within the disciplines of neurology, otolaryngology, and the microsurgical reattachment of severed appendages and vessels to name but a few.1-7 The dental profession has been slower to accept the microscope as part of its regular … Read more

Finance: Let’s avoid it!

1000147173-1000240669 alternate text for this image

If you have a sizeable RRSP or RRIF program, which continues to grow each year, your estate could have a potentially onerous tax bill. This would significantly reduce the size of your estate. However, with thoughtful planning, these taxes can be mitigated by the strategic use of a “Joint & Last to Die” Universal Life … Read more

Legal Issues: Are You Ready to Retire?

1000147174-1000240675 alternate text for this image

There are dentists who will practice to the very end of their careers. Others will seek to cash in their chips by selling their practice. At some time most dentists who own their own practices will be faced with the prospect of selling. At that time they will encounter a host of issues, some of … Read more