Practice Management: Too Many Patients?

1000149643-1000263291 alternate text for this image

A large percentage of Canada’s ‘middle-age’ dentists are about to reach a point in their career where they desire to reduce their working hours. This is a direct result of the aging baby boomer population. The need to work fewer hours as we age is a natural process that most self-employed professionals experience. I believe … Read more

Product Profile: A Review of Dental Products

Shofu

SPARTAN’S SL TIPS Obtura Spartan Using ultrasonic tips in restorative dentistry has gained popularity recently, partly because of the growing options available. Several companies now manufacture their own particular version and new tips are in the development stages and will soon hit the market. If you already have a piezo-electric ultrasonic unit, there is a … Read more

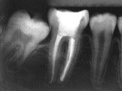
Out of the Deep End

Final endo x-ray.

Water Park Opening on Saturday! The town’s kids were sweating and lined up for hours to visit the newest summer attraction. Saturday evening my emergency phone line sharply announced the first casualty of the high-speed superdrop slide. One of my young female patients, age 11, had catapulted off the lip of the drop-off and smashed … Read more

Implantology: Implant Prosthetic Soft Tissue Model Fabrication

FIGURE 11--Occlusal close-up of the soft tissue portion on the final cast.

Soft tissue contours are critical to fabrication of fixed and removable implant prosthetics. Without this information aesthetics and hygiene may be compromised in the final prosthetics. To ensure that the emergence profile of fixed abutments replicates natural tooth aesthetics, the laboratory technician must be able to see the gingival margin and know the thickness of … Read more

What’s in a Name?… My View

Janice Goodman is the general dentistry board member of Oral Health. Please send comments to the editor at: cwilson@oralhealthjournal.com.

This commentary is based on the editorial by Dr. Ron Goodlin in this issue where he suggests that we recognize the specialty of cosmetic dentistry and change the general dentistry title to family dentist. In his opinion, accreditation by the American Academy of Cosmetic Dentistry should warrant membership in this elite specialty. He states that … Read more

News (March 01, 2003)

Johnson & Johnson Reach 400 Max

DCF Celebrates Philanthropy in Style Ottawa–Dentistry Canada Fund (DCF) dentistry’s national charity for oral health, is ‘Celebrating Smiles’ at a gala May 7th 2003 at Toronto’s Royal York Hotel. DCF will announce its first philanthropic award winners both within the dental professional and dental industry categories. The evening also includes dinner, a silent auction and … Read more

Is That Your Hand in My Pocket?

1000185451-1000263308 alternate text for this image

Do you know what an embezzler looks like? Would you prefer to call it ‘redistribution’ rather than theft? Do you have hard and fast hiring policies and procedures? Do you do background checks? Do you ‘borrow’ from your own petty cash? When you look into the eyes of your fresh-faced employees, can you tell if … Read more

Implantology: How to Integrate Implant Dentistry in General Practice

FIGURE 12--Completed case.

It is interesting to note that a search using the Internet engine www.google.ca using the terms “dental implants” will produce more citations than the terms “cosmetic dentistry” or the terms “tooth bleaching” and “tooth whitening” combined! This search engine is the layman’s medium. It is not a peer-reviewed journal. The public is interested. To assess … Read more

Implantology: Second Stage Surgery CAD/CAM Milled Solid Implant Abutments

FIGURE 17--The final crown placed on the milled abutment head intraorally. This image was taken at the insertion visit.

Gregori M. Kurtzman, DDS, MAGD, MIPS/ICOI, FPFA, DICOI and Allen L. Schneider, DDS, FAGD, DICOI ABUTMENT FORCES Many forces can be exerted on the abutment and crown that can affect long term success of the prosthetics. Rotational forces are well known to affect single units. The intimate mating of the abutment head to the implants … Read more

The Most Important Person

Stephen C. Zamon is a clinical coordinator, Faculty of Dentistry, University of Toronto. He maintains a private practice in Toronto.

If someone asked you who the most important person in the dental school is, what would be your response? Is it the Dean, a department head, the head of research, the head of clinics, full or part-time faculty? To me, the dental student is the school’s raison d’tre. Without the student, there would be no … Read more

2003 Self Learning Assessment (February 01, 2003)

The SLSA program is based on current, referenced literature and consists of 40 questions, answers, rationales and references. Answers appear at the end of each quiz.Dentists who complete the 15 question quiz in the November, 2002 issue of Oral Health may be eligible to receive continuing education points. The names and license numbers of all who complete the quiz will be forwarded to their respective provincial licensing authorities.

Pearls for your practice… (February 01, 2003)

Greg Psaltis, DDS

The 2003 Pacific Dental Conference is proud to present some of the world’s leading dental practitioners who will share with you their secrets to clinical and practice success. Come and enjoy their “Pearls for your Practice” in Vancouver at the Pacific Dental Conference. Here’s a sampling of what you’ll discover: JOHN KWAN, DDS Contemporary Periodontics … Read more

Health Issues: USA Preparing for Smallpox Vaccinations

The concern that smallpox could be used as a weapon of biological terror has caused the U.S. government to plan a response to the threat. The plan calls for rapidly vaccinating millions of people in the case of an outbreak. The project calls for 280 million doses being sent out from the National Pharmaceutical Stockpile … Read more

Internet Directory (February 01, 2003)

ASSOCIATIONS CANADIAN ACADEMY OF PERIODONTOLOGY Excellent source of informationon periodontics. www.cap-acp.ca CANADIAN DENTAL PROTECTIVE ASSOCIATION Bad things happen to good dentists. www.cdpa.com iCANADEN…internet CANAdian DENtistry An OPEN FORUM on the business and practice of dentistry. www.canaden.com ONTARIO STUDY CLUB FOR OSSEOINTEGRATION Seminar calendar and OSCO Information www.osco.org TORONTO ACADEMY OF DENTISTRY Toronto Meetings Calendar, CE, … Read more

Paediatrics: A Review of the Antibacterial Effect of Fluoride

FIGURE 6--Essential reactions involved in carbochydrate metabolism by saccharolytic oral bacteria (Hamilton, 1990): (1) Sugar transport via the phosphoenolpyruvate (PEP) transport system, (2) sugar uptake via thePMF-associated transport system, (3) proton efflux via the H+/ATPase, and (4) lactate/proton efflux. Fluoride has a direct inhibitory effect on enolase and H+/ATPase.

Fluorine is an element of the halogen family and the most reactive of the non-metals, with an atomic number of nine and an atomic weight of 19. Fluoride compounds are widely distributed throughout the soils of the earth, enter plants, are ingested by humans, and are absorbed from the gastrointestinal tract. Over the last half … Read more