2005 Self Learning Assessment (February 01, 2005)

The SLSA program is based on current, referenced literature and consists of 40 questions, answers, rationales and references. Answers appear at the end of each quiz. Dentists who complete the 15 question quiz in the November, 2005 issue of Oral Health may be eligible to receive continuing education points. The names and license numbers of … Read more

Custom Sports Mouthguard Modified for Orthodontic Patients and Children in the Transitional Dentition

FIGURE 8C--Dental stone cast with block-out materials in place, used for patient in figures 8a and 8b.

ABSTRACT: Young athletes with ever-changing transitional dentitions and those wearing fixed orthodontic appliances can benefit from custom-formed protective mouthguards. Modifications of the traditional vacuum-forming method are useful to fabricate mouthguards for such patients and extend the useful life of these devices. The purpose of this case report is to document fabrication of custom-formed protective mouthguards … Read more

2005 Self Learning Assessment (January 01, 2005)

The SLSA program is based on current, referenced literature and consists of 40 questions, answers, rationales and references. Answers appear at the end of each quiz. Dentists who complete the 15 question quiz in the November, 2005 issue of Oral Health may be eligible to receive continuing education points. The names and license numbers of … Read more

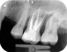
Acute Facial Swelling and the Importance of a Dental Consultation – A Case Report

1000194597-1000272441 alternate text for this image

In general most facial infections are of odontogenic origin and they do not normally occur without a predisposing condition.1 These infections can be caused by dental caries or deep restorations that approximate the pulp, infected pulps leading to a periapical abscess, periodontal abcess and pericoronitis. Failure to institute early treatment may result in the development … Read more

Internet Directory (January 01, 2005)

ASSOCIATIONS CANADIAN ACADEMY OF PERIODONTOLOGY Excellent source of informationon periodontics. www.cap-acp.ca CANADIAN DENTAL PROTECTIVE ASSOCIATION Bad things happen to good dentists. www.cdpa.com iCANADEN…internet CANAdian DENtistry An OPEN FORUM on the business and practice of dentistry. www.canaden.com ONTARIO STUDY CLUB FOR OSSEOINTEGRATION Seminar calendar and OSCO Information. www.osco.org TORONTO ACADEMY OF DENTISTRY Toronto Meetings Calendar, CE, … Read more

The Power of Trusts

Dentists, almost invariably, find themselves dealing with certain challenges associated with the accumulation of wealth.

Trends & Changes in Dentistry

Dentistry continues to change, particularly because of the advances in clinical dentistry, materials and technology.

Top 14 Financial & Tax Year-End Planning Ideas

Several years ago, I learned about an unusual Australian dentist named Dr Paddi Lund. What made him different was he only worked 22 hours per week in his single person practice. Paddi’s results spoke for themselves, he earned three times more than the average dentist in Australia. Paddi Lund’s personal insights and transformation inspired him to create a profitable business model byusing the tools available to him.

Increasing Your Bottom Line

How many extra hours do you think you would have to work to increase your income by up to 1,000 percent? The idea of working 10 times as much as you do now can be intimidating.

Colossal Asian Market… Are You There?

Bensheim, Germany–Sirona is strengthening its position in China by taking over the HTC Hipwo Group and setting up Sirona Dental Systems Foshan Co. Ltd. HTC is one of China’s three largest suppliers of treatment centres and will be integrated into the newly-founded company. The enterprise, headquartered in Foshan, about 70 kilometers to the north of … Read more

Children in Charge

‘Yes, young people may not like us when we set rules and standards, and that is too bad. When we worry about our children liking us, however, we put our needs ahead of our children’s needs. When we try to be pals with our children instead of parents, we deprive them of their most important … Read more

Dentists Crave Better Business Skills

New York–One in five dentists in private practice say maintaining a dual role as dentist and business owner is “extremely challenging,” and virtually all (96%) say it’s vital for dental students to learn business skills in dental school, according to the first-ever Medical Practice Monitor by OPEN from American Express, the company’s division that focuses … Read more

Internet Directory (December 01, 2004)

ASSOCIATIONS CANADIAN ACADEMY OF PERIODONTOLOGY Excellent source of informationon periodontics. www.cap-acp.ca CANADIAN DENTAL PROTECTIVE ASSOCIATION Bad things happen to good dentists. www.cdpa.com iCANADEN…internet CANAdian DENtistry An OPEN FORUM on the business and practice of dentistry. www.canaden.com ONTARIO STUDY CLUB FOR OSSEOINTEGRATION Seminar calendar and OSCO Information. www.osco.org TORONTO ACADEMY OF DENTISTRY Toronto Meetings Calendar, CE, … Read more

Comprehensive Care: Bio-Techno Convergence and Integration

Dr. Barnett

By Gary D. Glassman, DDS, FRCD(C), Kenneth S. Serota, MMSc, DDS, and Frederic Barnett, DMD Dentistry is dangerously close to becoming a runaway train. Techno-products abound; they are the engines that drive the service mix. Unfortunately in far too many cases they are an application in search of a situation. The biologic objectives are often … Read more

2005 Self Learning Assessment (December 01, 2004)

SLSA wishes to recognize the financial support of COLGATE PALMOLIVE CANADA, without which the Program could not have been made possible. SLSA 2005 Self Learning/Self Assessment 2005 will commence in the January 2005 issue of Oral Health. The format will continue to be four items per month for 10 months, followed by a 15-question quiz … Read more