Better than fingers or swabs

1000195472-1000278396 alternate text for this image

Tampa, FL–Baby Buddies, Inc recently introduced its new dentist-designed Baby’s 1st Toothbrush (also known as Angel Brush) that will help parents care for an infant’s often neglected gums and first teeth. The dentist-designed Angel Brush is soft, pliable and molded entirely of silicone, with a unique H-shaped head that is filled with tiny soft bristles … Read more

Diagnostic Imaging of the Temporomandibular Joint

FIGURE 6B - Open position (same patient). Disk remains normally positioned (arrow).

Temporomandibular joint dysfunction (TMD) can affect a significant portion of the population.1 Clinical symptoms may include one or more of the following: pain in the region of the temporomandibular joint (TMJ), headaches, earaches, muscle tenderness, joint noises such as clicking, popping or grating, limited opening or deviation of the mandible on opening/closing, locking, and occlusal … Read more

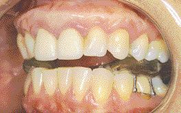
How to Stabilize the TMJ Prior to Treatment

FIGURE 13--Repositioning splint.

Most general dentists do not have any desire to treat patients with TM dysfunction. They do not feel that they had proper training in dental school and many are not interested in attending postgraduate courses. I developed an interest in the TM joint when I first attended courses sponsored by the University of Toronto 21 … Read more

An Introduction to Joint Vibration Analysis (JVA) PART I

FIGURE 3--A) Time domain; B) Frequency domain.

In this age of advanced technology, a clinician must rely on more than subjective findings (e.g. palpation and auscultation) when evaluating the temporomandibular joint. We need a way to objectively assess our patient’s joint health and document both the pre-treatment conditions and the response to the treatments we provide. One of the personal computer based … Read more

Unlocking the Non-Reducing Disc

FIGURE 12

Several years ago I sat and listened intently at a meeting of the American Academy of Craniofacial Pain (formerly the Academy of Head, Neck and Facial Pain) as Dr. Clifton Simmons described how he injected the TM joint to unlock a non-reducing disc displacement (NRDD). Prior to this, I was sending patients with NRDDs to … Read more

Dental Internet Directory (June 01, 2005)

ASSOCIATIONS CANADIAN DENTAL PROTECTIVE ASSOCIATION Bad things happen to good dentists. www.cdpa.com iCANADEN…internet CANAdian DENtistry An OPEN FORUM on the business and practice of dentistry. www.canaden.com ONTARIO ACADEMY OF GENERAL DENTISTRY Quality of care through life long learning. www.ontarioagd.org ONTARIO STUDY CLUB FOR OSSEOINTEGRATION Seminar calendar and OSCO Information. www.osco.org TORONTO ACADEMY OF DENTISTRY Toronto … Read more

“Doctor, I have TMJ…”

1000195821-1000277833 alternate text for this image

Yes, Mrs. Smith, you do. You have two of them and they are both lovely.” How many times have you wanted to say that to a patient who comes in with that comment? This is the same as going to our orthopedic surgeon and being told that we have “Knee.” The TM joint is a … Read more

The tooth needs a root canal, should I treat this patient? PART I OF III

1000195822-1000277834 alternate text for this image

Did you ever start an endodontic procedure and later wish you hadn’t? If you are like most clinicians, the answer is yes. The source of this answer is either a clinical challenge or patient management issue that arose unexpectedly after starting. The prospect of having a root canal can provoke anxiety in some patients, despite … Read more

Self Learning Assessment 2005 (June 01, 2005)

The SLSA program is based on current, referenced literature and consists of 40 questions, answers, rationales and references. Answers appear at the end of each quiz. Dentists who complete the 15 question quiz in the November, 2005 issue of Oral Health may be eligible to receive continuing education points. The names and license numbers of … Read more

Surprise!

1000195914-1000278394 alternate text for this image

Politicians sometimes tell untruths. Not surprising. ESPN tears up its contract with the NHL, meaning no hockey on television south of the border. Not surprising. The CBC doing the same thing? That would be surprising. Some homes along the Atlantic seaboard are susceptible to hurricanes. Shouldn’t be, but apparently is, surprising to some folks. Celebrity … Read more

Re: It’s About Access, editorial, Spring, 2005 DPM

With respect to your editorial comments, I would like to raise a few points. I agree with you that there is a tremendous need for greater access to oral health care for all members of society. There is a great deal of need that exists within certain segments of our population. However in terms of … Read more

Dentistry Canada Fund Gala honours three

L to R: Dr. Douglas Chaytor; Mr. Michel Hart, Chairman of the Board, Ash Temple Limited; Dr. Bernard Dolansky, DCF President and Chairman; Dr. George Vasiga.

Toronto–The Dentistry Canada Fund (DCF), the Canadian charity for oral health, held its Celebrating Smiles Gala at the Fairmont Royal York in Toronto. The event was a great success and featured entertainment, a silent and live auction and the presentation of DCF’s Service and Philanthropy Awards. DCF 2005 Award recipients are: 1.Outstanding Service Award – … Read more

Survey provides insight into the incredible growth in cosmetic dentistry

Madison, WI–Fueled by television makeover shows, patient inquiries, and doctors’ desires to better serve patients while growing their practices, cosmetic dentistry has experienced explosive growth in recent years. Dentists queried in a recent American Academy of Cosmetic Dentistry survey of 9,000 U.S. practices stated the aesthetic/cosmetic services provided in their offices grew an average of … Read more

Endodontic Monobloc: Case Closed

FIGURE 30--The final restoration after polishing and sealing.

Numerous studies on endodontic treatment outcomes demonstrate a significant degree of predictable clinical success,1,2 however, cross-sectional, retrospective population studies have demonstrated “post-treatment disease” in 30 to 50 percent of cases.3 While recent studies have introduced significant predictors of outcome which may impact upon future treatment protocols, at present, continued sophistication of contemporary clinical treatments (debridement, … Read more

Sequence of Irrigation in Endodontics

FIGURE 4--A retreatment of two lower premolars.

ABSTRACT Irrigation has an important role during endodontic treatment. We are proposing a sequence for the different irrigating agents in order to achieve the best chemical preparation possible. During the last several years endodontics has progressed to the point for treatment to be less traumatic for the patient and less stressful for the dentist. However, … Read more

Dental Internet Directory (May 01, 2005)

ASSOCIATIONS CANADIAN DENTAL PROTECTIVE ASSOCIATION Bad things happen to good dentists. www.cdpa.com iCANADEN…internet CANAdian DENtistry An OPEN FORUM on the business and practice of dentistry. www.canaden.com ONTARIO ACADEMY OF GENERAL DENTISTRY Quality of care through life long learning. www.ontarioagd.org ONTARIO STUDY CLUB FOR OSSEOINTEGRATION Seminar calendar and OSCO Information. www.osco.org TORONTO ACADEMY OF DENTISTRY Toronto … Read more

Endodontic Junkyard Dog

Dr. Gary Glassman is a fellow and examiner for the Royal College of Dentists of Canada, is the endodontic contributing consultant for Oral Health Journal and maintains a private practice limited to endodontics in Toronto, ON, Canada.

At a recent endodontic study club meeting, we had the opportunity to discuss what endodontists often chat about. Included in the discussion were levels of busyness, new techniques and technologies being used, and the different types of procedures that we are seeing in our day-to-day practices. Before long, it became obvious that the pattern of … Read more