Restoration of the Vertically Challenged Dentition — Orthodontic and Restorative Therapy Solutions

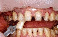
FIGURE 19--Preparations and shade taking.

Often patients present in our offices with aesthetic and functional problems which require addressing issues such as excessive overbite and insufficient posterior crown height. This case presentation will demonstrate treatment planning for a multiple disciplinary approach to the restoration of a dentition with reduced restorative dimension posteriorly, excessive overjet and severe overbite. Provisional laboratory processed … Read more

2007 Calendar of Events (December 01, 2006)

JANUARY 2007 January 24 -28, 2007 Yankee Dental Congress 32 Boston, MA T. (800) 943-9200 outside Massachusetts P. (508) 480-9797 F. (508) 480-0002 www.yankeedental.org FEBRUARY 2007 February 22 – 25, 2007 The 142nd Chicago Dental Society Midwinter Meeting Chicago, IL P. (312) 836-7300 www.cds.org MARCH 2007 March 9 – 11, 2007 Pacific Dental Conference Vancouver, … Read more

Dental Internet Directory (December 01, 2006)

ASSOCIATIONS CANADIAN DENTAL PROTECTIVE ASSOCIATION Because bad things happen to good dentists. www.cdpa.com ONTARIO ACADEMY OF GENERAL DENTISTRY Quality of care through life long learning. www.ontarioagd.org TORONTO ACADEMY OF DENTISTRY Toronto Meetings Calendar, CE, Winter Clinic, Society Listings, etc. www.tordent.com CONTINUING EDUCATION ENDODONTICS: 2-DAY HANDS-ON COURSES IN VANCOUVER Advanced techniques for treatment of root canal … Read more

The Likeability Factor

At a recent Toronto event, I wanted to find out more about what Tim Sanders called the L-Factor. L stands for Likeability. Essentially, likeable people get further in life.

Technology in Tomorrow’s Dental Office

Over the next few years, the gap between successful and unsuccessful businesses in all industries will continue to widen. Businesses providing dental services will be no different. The more successful businesses will continue to understand that technology is a tool to grow and enable their businesses, and they will continue to evolve and do well. … Read more

IDS – International Dental Show, 2007 in Cologne

Cologne–At the IDS in Cologne, Germany (March 20-24, 2007), the global dental industry will present innovative products, techniques and services that promote effective cooperation between the dentist, prophylactic team and patient in conserving and restoring good health. For information on attending this huge dental industry event, visit the website at www.koelnmesse.de

U of T, 2007 Awards Gala Honourees of Distinction

The Honourees of Distinction for 2007 are: Sir Ian Gainsford 6T0 of London, England; Dr. Gerald Halbert 5T8 of Toronto, Ontario; Dr. Nicky Leung 8T4 of Vancouver, BC and Guylaine McCallum of Ottawa, Ontario. The 2007 “Awards of Distiction” Gala will be held at The Granite Club, in Toronto, March 24th, 2007. For more information, … Read more

Demographics Drives Redesign

1000208348-1000299240 alternate text for this image

When Dr. Stephen Simpson took over the storefront practice of a retiring dentist, he inherited an office in need of much work, and finally last year, the time to renovate the space into his dream office arrived. Demographics had changed, and Dr. Simpson wanted his office to better suit the now upscale neighborhood. His tired … Read more

HELP! I need somebody…

1000208395-1000296413 alternate text for this image

No, not just any body. Actually, any body. A dentist from Saskatchewan telephoned me recently. She had a question. I had an answer. Transaction completed. The dentist sounded a bit exasperated. I enquired as to the reason. Third cold in two months, she said. A little run down. A lot of stress. She explained that … Read more

Implant Aesthetics: Immediate Replacement and Loading In The Aesthetic (Anterior) Zone: A Case Study

FIGURE 7--Ultimate esthetics achieved with immediate implant replacement and all-ceramic restorations within the esthetic zone.

Dental implants have become widely accepted for the replacement of missing teeth due to their high success rates. Conventional multistage approaches to implant reconstruction have contributed to professional’s acceptance of implant dentistry as a treatment option, perhaps the treatment of choice. New innovation procedures often enable clinicians to achieve function and aesthetics in shorter treatment … Read more

Implants and Imaging, The “I’s” of the Future

FIGURE 4

Dentistry has always been at the wavefront of new technology. Advances in dental care have rapidly been assimilated from inception to reality throughout the history of the profession. From air rotors to x-ray’s, the rapidity of these advances has not slowed. Dental implants have been an advantage for the general public and profession alike. Integrating … Read more

Prosthodontic Impressions Simplified: The Rebite Technique

FIGURE 25--Close up of impression detail.

Accurate prosthodontic impressions with minimal soft tissue manipulation are essential for the successful and predictable creation of a prosthesis. A new impression technique has been developed with accurate and detailed results and no soft tissue manipulation. Prosthodontic impressions can prove frustrating for both the clinician and patient. The patient may develop anxiety and fear from … Read more

Choices in the Zirconia Marketplace. A Short History Leading to Zirconia

TABLE 1--Three point flexural strength of various dental ceramics.

It comes as no surprise that in today’s “esthetic age” of dentistry that dentists continue to seek a material that can take the place of metal, in both strength and longevity, but with an overall “white” color. Many believe that Zirconium is the answer to the long search. This article is designed to inform the … Read more

Maxillary Arch Rehabilitation: A Case Report Utilizing Fixed and Removable Prosthodontics and a Novel Bite Registration Appliance

FIGURE 34--Occlusal view maxillary arch 1:2 post-op.

Full arch reconstruction can be a challenging clinical endeavor. Following an orderly protocol, with the end results in mind, can create predictable functional, durable and esthetic results for our patients. A case is presented demonstrating the clinical steps involved in a full arch rehabilitation, along with the use of a bite registration appliance to assist … Read more

Procera Implant Bar Utilized in a Case of Tilted Implants in the Severely Resorbed Mandible – A Case Report

FIGURE10--Final delivery of the bar.

Patients with a severely resorbed edentulous mandible often suffer from problems with the lower denture. These problems include: insufficient retention of the lower denture, intolerance to loading by the mucosa, pain, difficulties with eating and speech, loss of soft-tissue support, and altered facial appearance. These problems are a challenge for the prosthodontist and surgeon. Dental … Read more

Prevention Begins with Assessment

Richard Mounce

Recently, I was on a technical scuba diving training dive where a serious accident occurred. The situation was caused by a lack of communication and a faulty dive plan. It was completely preventable. While not potentially fatal, in an endodontic context, the vast majority of problems that bedevil clinicians are also, very fortunately, completely preventable. … Read more

Literature Summary

FIVE-YEAR FOLLOW-UP OF A PROSPECTIVE CLINICAL STUDY ON VARIOUS TYPES OF CORE RESTORATIONS This study examined the five year survival rate of endodontically treated teeth restored with a cast post-and-core, versus a direct post-and-core, versus a post-free core made of composite. This study also tested whether the survival rate was affected by the height of … Read more