The Immediate Smile Makeover

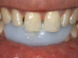
Figure 12. Both patient and dentist are satisfied with the SOS treatment.

Many patients, and potential patients, are unhappy with the appearance of their smiles. Some have the financial ability and the enthusiasm to improve their smiles through orthodontics, veneers, and crowns; far more cannot afford the expensive longer-term treatment that is necessary. Or at least, cannot justify the time and money simply because they cannot imagine … Read more

Better, Faster, Easier

George Freedman is a founder and past president of the American Academy of Cosmetic Dentistry, a co-founder of the Canadian Academy for Esthetic Dentistry and a Diplomate of the American Board of Aesthetic Dentistry. Dr. Freedman sits on the Oral Health Editorial Board (Dental Materials and Technology) is a Team Member of REALITY and lectures internationally on dental esthetics and dental technology. A graduate of McGill University in Montreal, Dr. Freedman maintains a private practice limited to Esthetic Dentistry in Markham, ON, Canada.

How many of the procedures learned in dental school are you still using today? Whether you graduated 30, 20, 10, or even two years ago, chances are that your techniques and materials are vastly different. While school provides the basic foundations and theoretical concepts for many of the disciplines in dentistry, it is in publications … Read more

Tissue Management, Gingival Retraction and Hemostasis

Figure 10B. Second cord in place. Note the degree of gingival retraction and complete visualization of all the margins of the crown preparation.

The oral cavity is a difficult area to treat in restorative dentistry because of the constraints of the lips, tongue, cheeks, challenges for access to visualize and manipulate instruments, as well as, the position of the teeth that are being treated relative to the gingival tissues, which if improperly managed, bleed. While for operative dentistry … Read more

A Buyers’ Guide to Dental Vacuum Systems

Figure 4.

When was the last time you gave any thought to your vacuum system? Probably not once since it was bought and installed and probably not again until it needs replacement. Do you ever hear your suction, smell your suction, does it ever produce inadequate force to allow all the practitioners in the practice to operate … Read more

Complex CL II’s Become Simple CL I’s

Figure 17. Shaping of the embrasure area of the ABC Wedge to broaden the buccal and lingual wall of the composite.

Today’s dentist is facing an unprecedented economic challenge. Just five years ago, missing cusps and ultra-wide box forms would call for an indirect restoration. Onlays and full crowns that frequently commanded a hefty insurance co-payment were well within reach of the average patient. The political expression, “it’s the economy stupid”, has dental ramifications that stress … Read more

SLSA – Self Learning, Self Assessment 2011

We would like to inform readers that 2011 will be the final year of the SLSA program in Oral Health. The program for 2011 will consist of 20 items. We will publish four items every other month with an 8-question Quiz appearing in the November 2011 issue. Because the program is half its usual length, … Read more

Dental Internet Directory

ASSOCIATIONSAssociation O Dental Technologists Of OntarioThe official voice of Registered Dental Technologists in Ontariowww.ADTO.org Canadian Dental Protective AssociationBecause bad things happen to good dentists.www.cdpa.com Ontario Academy Of General DentistryQuality of care through life long learning.www.ontarioagd.org Toronto Academy Of DentistryToronto Meetings Calendar, CE, Winter Clinic, Society Listings, etc.www.tordent.com CONTINUING EDUCATION: Faculté Of Orthodontic Research & Cont. Ed.Lectures and … Read more

The Dentist’s Role in Sport Performance Mouthwear

"It really seems to help your breathing. The way it clenches your jaw down, it's not like anything I've ever worn before. The comfort level is like you don't even have a mouthguard in your mouth." - Rick Nash, Columbus Blue Jackets

Dentists have long advocated that protective mouthpieces be worn during active, and particularly contact sports. The mouth guard separates the arches by inserting a secured cushioning device around the teeth. Not only the does the mouth guard protect the integrity of the teeth from inadvertent crushing occlusal forces, but also acts as a shock absorber … Read more

ADHA SupportsComprehensive Dental Reform Act of 2012

American Dental Hygienists' Association

Chicago, June 6, 2012 – The American Dental Hygienists’ Association (ADHA) commends Senator Bernard Sanders, Chairman of the Senate Subcommittee on Primary Health and Aging, and Congressman Elijah Cummings, Ranking Member of the House Committee on Oversight and Government Reform, for their leadership on oral health issues by introducing the Comprehensive Dental Reform Act of … Read more

Dentistry’s Role in Repair of the Facial Trauma Patient: A Case Report

Figure 5 - Post operative panorex showing anterior tooth loss with extensive alveolar bone loss making prosthetic reconstruction a challenge.

IntroductionTraumatic facial injuries are commonplace in North America. Interpersonal violence, falls, motor vehicle crashes and sport related injuries make up the majority of etiologies for these injuries.1 Since the advent of seat belts and air bags, there has been a significant decline in severe facial trauma as was seen in the ’60s, ’70s and ’80s.2 … Read more

Methadone: A Review

INTRODUCTION Methadone is a synthetic opioid that was developed as an analgesic by German scientists during World War II. It has been used as part of the treatment for opioid addicted patients since the 1960s. More recently, methadone has been used as an analgesic for the management of various chronic pain conditions. Methadone’s special pharmacologic … Read more

Airway Management in Maxillofacial Trauma-Alternative Techniques of Intubation and Modifications of Nasal Airways

Figure 2 - Simulation of the use of a Modified Nasal Trumpet (Left Nasal) and fiberoptic intubation through a Split Naso Pharyngeal Airway (Right Nasal).

INTRODUCTIONAirway management for maxillofacial trauma is often complicated by distortion of the airway from the injury, emergent management for impending compromise, and other serious co-existing injuries. While traditionally the use of nasal intubations and tracheostomies are preferred, we discuss the use of retromolar and submental intubation techniques as alternative airway management strategies. Additionally, we will … Read more

Squamous Cell Carcinoma of the Lower Lip

Figure 7 - One-month post-operative photograph of lower lip.

Carcinoma of the lips is the most common malignant tumour of the oral cavity.1 In a large review of 1,252 patients, 96.7 percent were found in males and 95.6 percent of cases involved the lower lip.2 Prolonged exposure to sunlight and outdoor occupations are known major etiological factors for squamous cell carcinoma of the lips.3,4 … Read more

Lumps and Bumps

Submucosal mass

A Practical Guide to the Differential Diagnosis of Submucosal Lesions

Evolving Scope of Practice

Bruce R. Pynn, DDS, MSc, FRCDC , Oral and Maxillofacial surgery, Thunder Bay, ON. He is the oral and maxillofacial surgery board member for Oral Health.

Since the Second World War, the scope and complexity of Oral and Maxillofacial Surgery in North America has steadily progressed beyond the practice of exodontia. Significant advances were made in the medical and surgical management of victims of trauma, temporomandibular disorders, and treatment of dentofacial deformities, infections and oral pathology, as well as reconstructive procedures … Read more

Endodontic Irrigation

Figure 9 - PUI group demonstrated significantly more penetration of irrigant into lateral canals. (Courtesy of Dr. Cohenca)

INTRODUCTIONBacteria in the root canal system provoke the formation of periapical inflammatory lesions.1 The aim of root canal treatment is to eliminate bacteria from the infected root canal and to prevent re-infection. Biomechanical cleaning and shaping of the root canal greatly reduces the number of bacteria.2 Nevertheless, studies have shown that bacteria often persist.3 Therefore, … Read more

How Apical Enlargement Facilitates Irrigation

Figure 21 - Recall (1-year) radiograph showing complete healing

INTRODUCTION Instruments shape and irrigants clean, right? That may sound good as an advertising slogan but we have to dig a bit deeper for the whole truth. There is a widely held belief that most endodontic failures are caused by inadequate cleaning, debridement and disinfection, especially when it occurs in the apical third of the … Read more