From AI in the office to robot-assisted dental implant surgery

Cartoon Color Characters People Robotic Surgery Concept Flat Design Include of Surgeon, Robot and Patient. Vector illustration

ChatGPT has transformed your admin workflows and treatment notes. Now, meet the robots entering your operatory.1 1. The rise of surgical robotics When the da Vinci Surgical System launched in July 2000, it proved to general surgeons that robotic-assisted surgery, offering high-definition 3D views and built-in tremor-filtration technology, could be effectively applied to a wide … Read more

A risk-based framework for dental AI adoption: 2025 update

Business person working at laptop with of documents law regulation and compliance rules. Document of Standards, Regulations,Requirements and Compliance concept

Artificial intelligence has entered dentistry not with fanfare, but through a quiet transformation. In practices across North America, clinicians are discovering that AI scribes can record consultation notes while they focus on patients, enhancing compassionate care. Diagnostic algorithms can identify subtle pathologies in radiographs, and machine learning-powered administrative assistants can simplify insurance authorizations. What once … Read more

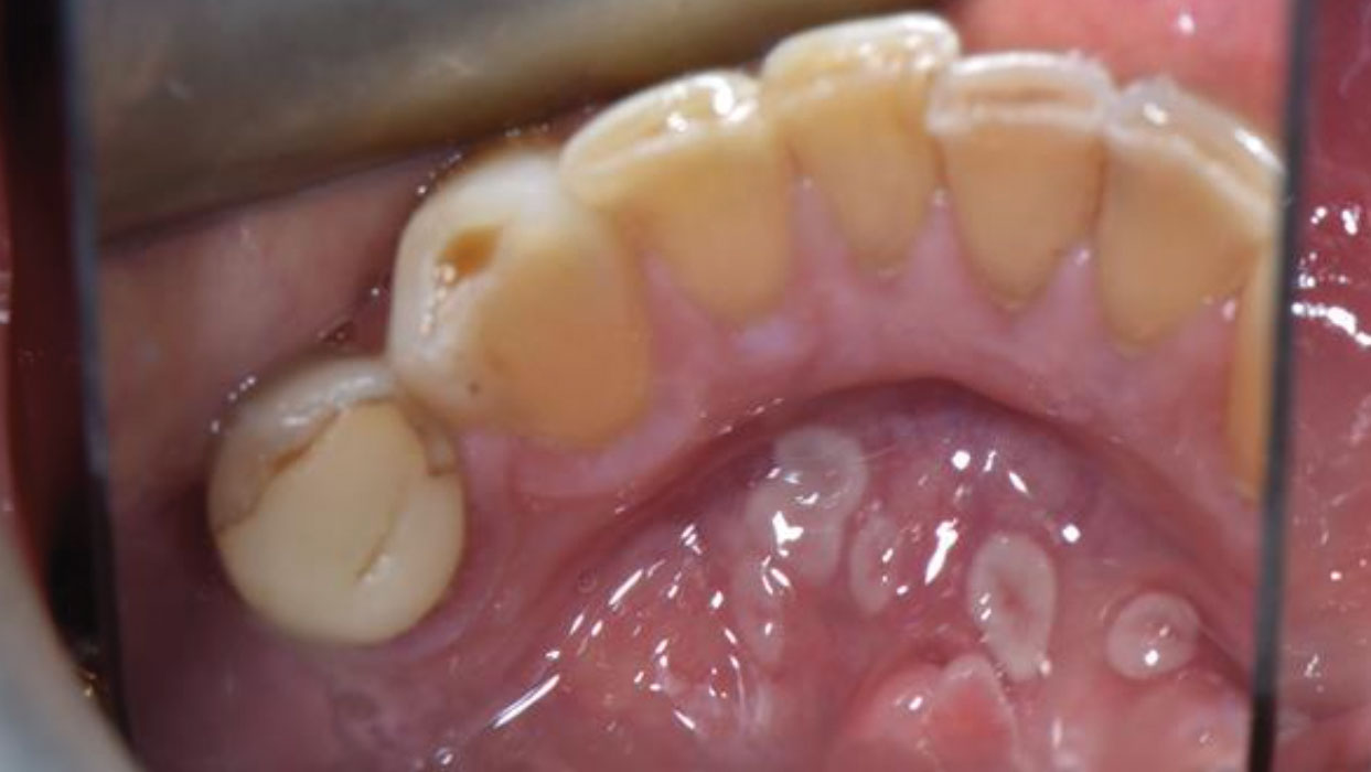
The Debridement Difficulty Index (DDI):A proof-of-concept, GPT-supported tool for predicting periodontal therapy complexity

periodontics-october-2025 alternate text for this image

Periodontal debridement, particularly scaling and root planing (SRP), remains the cornerstone of nonsurgical periodontal therapy. Its effectiveness in reducing probing depths and controlling inflammation has been well documented for decades.1-3 However, despite its central role, the procedure presents significant variability in complexity. Factors such as pocket depth, furcation involvement, root concavities, calculus tenacity, and patient-related challenges … Read more

Recognizing lymphatic disease in dentistry: Clinical relevance and emerging therapies

lymphatic-disease-dentistry-boyce alternate text for this image

Abstract The lymphatic system, though essential in fluid homeostasis, immunity, and fat absorption, has historically received minimal attention in medical and dental education. Complex Lymphatic Anomalies (CLAs) represent a rare but serious group of lymphatic disorders that carry significant morbidity and mortality. This article integrates a personal perspective with a clinical review to highlight the … Read more

Silent progression: Full-arch implant peri-implantitis after 25 years without maintenance

full-arch-implant-peri-implantitis-paleolog alternate text for this image

In the patient’s pursuit of restoring both aesthetics and function, dental implants have become one of the most widely used treatment modalities for the rehabilitation of partially and completely edentulous cases. Despite their high long-term success rates, dental implants remain susceptible to biologic complications such as peri-implant mucositis and peri-implantitis. These peri-implant diseases are primarily … Read more

Geographic tongue beyond the dorsum: Clinical and histopathologic diagnosis of ventral tongue and floor-of-mouth lesions

Geographic-tongue-rosenboom alternate text for this image

Geographic tongue (GT), also known as benign migratory glossitis, is a chronic, inflammatory oral condition of unknown etiology.1 It is characterized by erythematous lesions with irregular white borders, and is typically seen on the dorsal and lateral surfaces of the tongue in circinate2 or serpiginous patches.1 The lesions often alternate between periods of exacerbation and remission, and may … Read more

The periodontal network

the-periodontal-network alternate text for this image

When a 45-year-old patient presents with Stage IV, Grade C periodontitis alongside unexplained cervical lymphadenopathy, the question is not just about pocket depths. It is about recognizing that you are looking at a biological network in distress, one where local inflammation has activated systemic pathways that extend far beyond the gingival margin. This scenario is not hypothetical. … Read more