What’s your diagnosis? Case #2

what’s-your-diagnosis-case-2 alternate text for this image

Note from editor Oral Health is proud to introduce a brand-new series by Dr. Bruce Pynn and Dr. Hagen Klieb, featuring a curated collection of compelling cases. This series aims to raise awareness and deepen understanding of unique and unusual oral pathology. How would you diagnose this case? A 38-year-old male was referred to the … Read more

Bonding rituals: Chairside insights for digitally guided orthodontics

Fig_18-gange alternate text for this image

Printed metal appliances,” “sintered metal appliances,” “absolute magic” … however you prefer to refer to the newest form of appliance delivery, its technology is gaining traction in the orthodontic world. Unlike traditional circumferential bands, however, printed appliances have more in common with buccal tubes or large acrylic appliances when it comes to the bonding process. … Read more

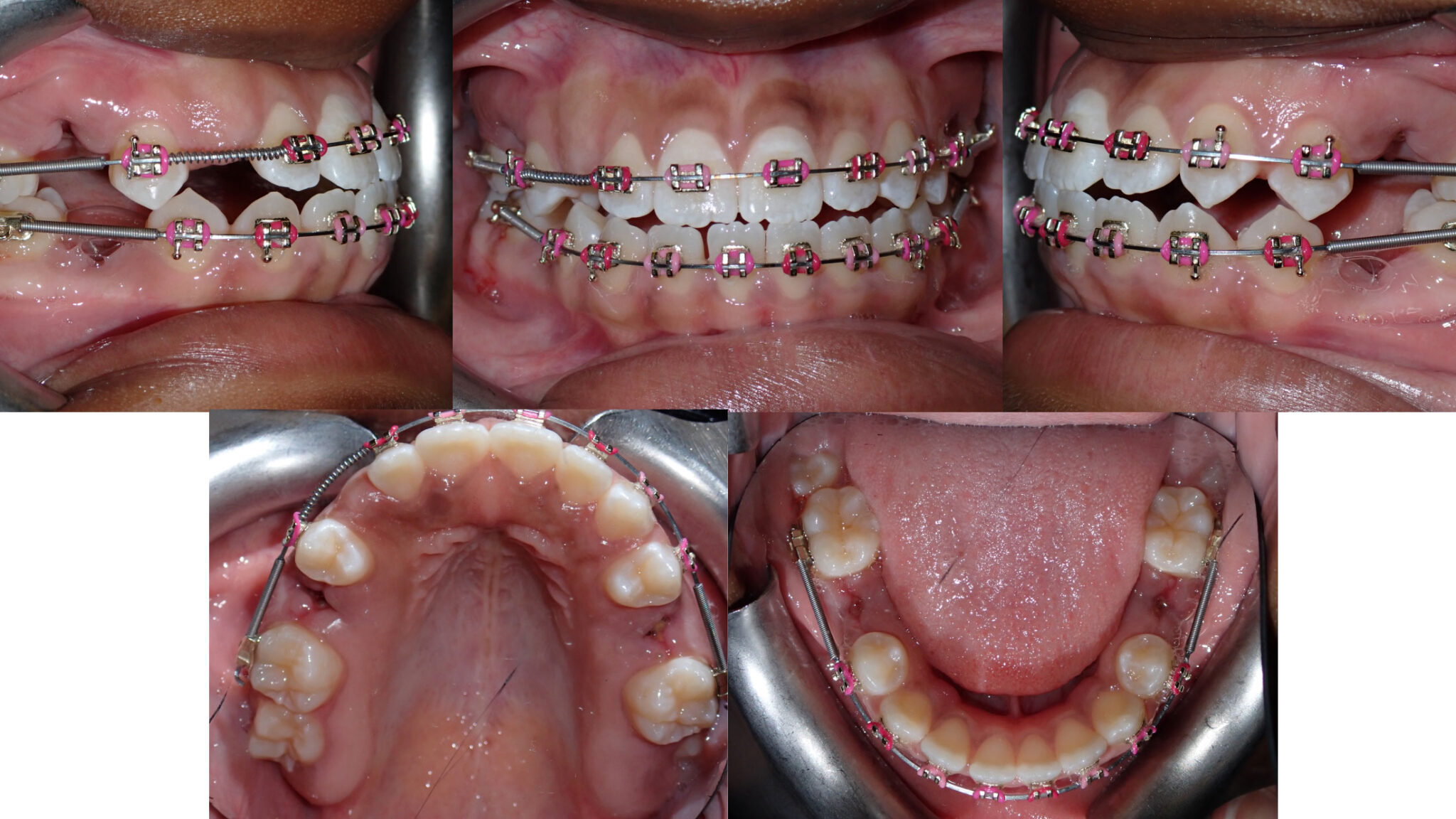
Treatment of impacted mandibular second molars in a hyperdivergent patient: A case report

Figure-4-vuong alternate text for this image

Impaction of second molars, whether maxillary or mandibular, is an uncommon but clinically significant anomaly in orthodontics, with a reported prevalence ranging from 0.03% to 2.3%, depending on the population studied.1 Unlike third molars, which are frequently impacted and often extracted prophylactically, impacted second molars are traditionally preserved to establish and maintain functional occlusion. Etiology of … Read more

Orthodontic camouflage of a borderline Class III with maxillary canting, functional shift, and facial asymmetry using skeletal anchorage: A case report

Manfio-Fig_9 alternate text for this image

Abstract This article describes the orthodontic management of an adult patient with mandibular asymmetry, maxillary occlusal canting, and a functional mandibular shift. The patient had previously undergone comprehensive orthodontic treatment but was dissatisfied with the outcome. A thorough diagnostic with cone-beam computed tomography (CBCT) allowed detailed assessment of occlusal plane canting and skeletal asymmetry. This … Read more

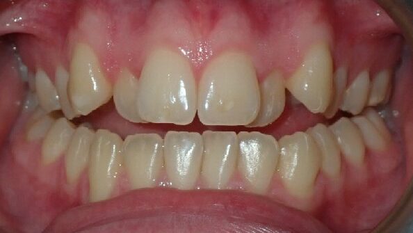
Recognizing the signs: When to refer for early orthodontic treatment

Figure 3 alternate text for this image

Orthodontics has always aimed to create aesthetically pleasing smiles and functional occlusions, but today, we strive for even more. Modern orthodontic care emphasizes not only straightening teeth and correcting malocclusion, but also optimizing facial balance, smile aesthetics, airway development, and long-term stability. Early orthodontic treatment, typically initiated between the ages of 7 and 10, is … Read more

Conservative approach for the treatment of anterior tooth wear

conservative-treatment-anterior-tooth-wear alternate text for this image

The intention of this article is not to discuss all the factors involved in formulating a diagnosis and treatment plan for anterior tooth wear, but rather to demonstrate the favourable outcome one can achieve when implementing a minimally invasive treatment option. The option involves optimal orthodontic tooth positioning using a clear aligner system followed by … Read more

A comparative review of thermoformed and 3D-printed shape memory polymer systems

Fig 5 alternate text for this image

Abstract Clear aligner therapy has significantly transformed orthodontic practice by providing an aesthetic and removable alternative to traditional fixed appliances. Conventional thermoformed aligners, although widely successful, are limited by force degradation, stress relaxation, and deformation under intraoral conditions, affecting treatment predictability. Recent advances in material science, particularly the emergence of 3D-printed shape memory polymers (SMPs), … Read more

Navigating the many roads of modern orthodontics

many-roads-modern-orthodontics alternate text for this image

It’s an exciting time in my career, as I begin two roles that mean a great deal to me. My name is Daniel Richmond, and I’m honoured to serve as the new editor for the orthodontics edition of Oral Health Journal. At the same time, I’ve recently opened my start-up practice, Kallos Orthodontics—a vision years … Read more