Immediate Loading of Extra-short Implants (6.5 mm in length)

anitua-feature alternate text for this image

A Retrospective Study with 2 to 6 Years of Follow-up Immediate loading of dental implants is a protocol that has become increasingly widespread since it began to be used in the 1990s1-3 and today has success rates similar to those of implants inserted using the “conventional” loading protocol (98.2% for immediate loading versus 99.6% for conventional … Read more

All on X and the Patient Experience

tremblay_featured alternate text for this image

Key Words Dental implants, Concept, function, biomechanics, esthetics, mastication, full-arch restoration, financial investment, quality of life, “All-on-4” and patient satisfaction The world is aging – epidemiological studies show that 11% of the world’s population is over 60 years of age, with a projected increase, by 2050 to 22% of the population.1 Metrics from the Center for Disease Control’s … Read more

Reducing Extraction-to-Final Restoration (EFR) Time Utilizing a 5-in-1 Technique

Chen_featured alternate text for this image

Abstract Although immediate implant placement and provisionalization are now considered the standard of care and the preferred patient option for transitioning from edentulism or unrestorable teeth to implant rehabilitation, several clinical factors and patient characteristics can contraindicate this approach. As a result, it is still frequently necessary for clinicians to undertake—and for patients to endure—the … Read more

Unravelling the AI Paradox: Navigating Negligence in Dentistry’s Digital Frontier

oral-health-august-2024 alternate text for this image

In the complicated corridors of Canadian jurisprudence, negligence claims remain one of the more popular approaches to holding professionals accountable. Nowhere is its sway more profound than in the domains where human health and well-being hang in the balance, such as dentistry. This legal scrutiny involves a tripartite test assessing duty of care, breach of the standard … Read more

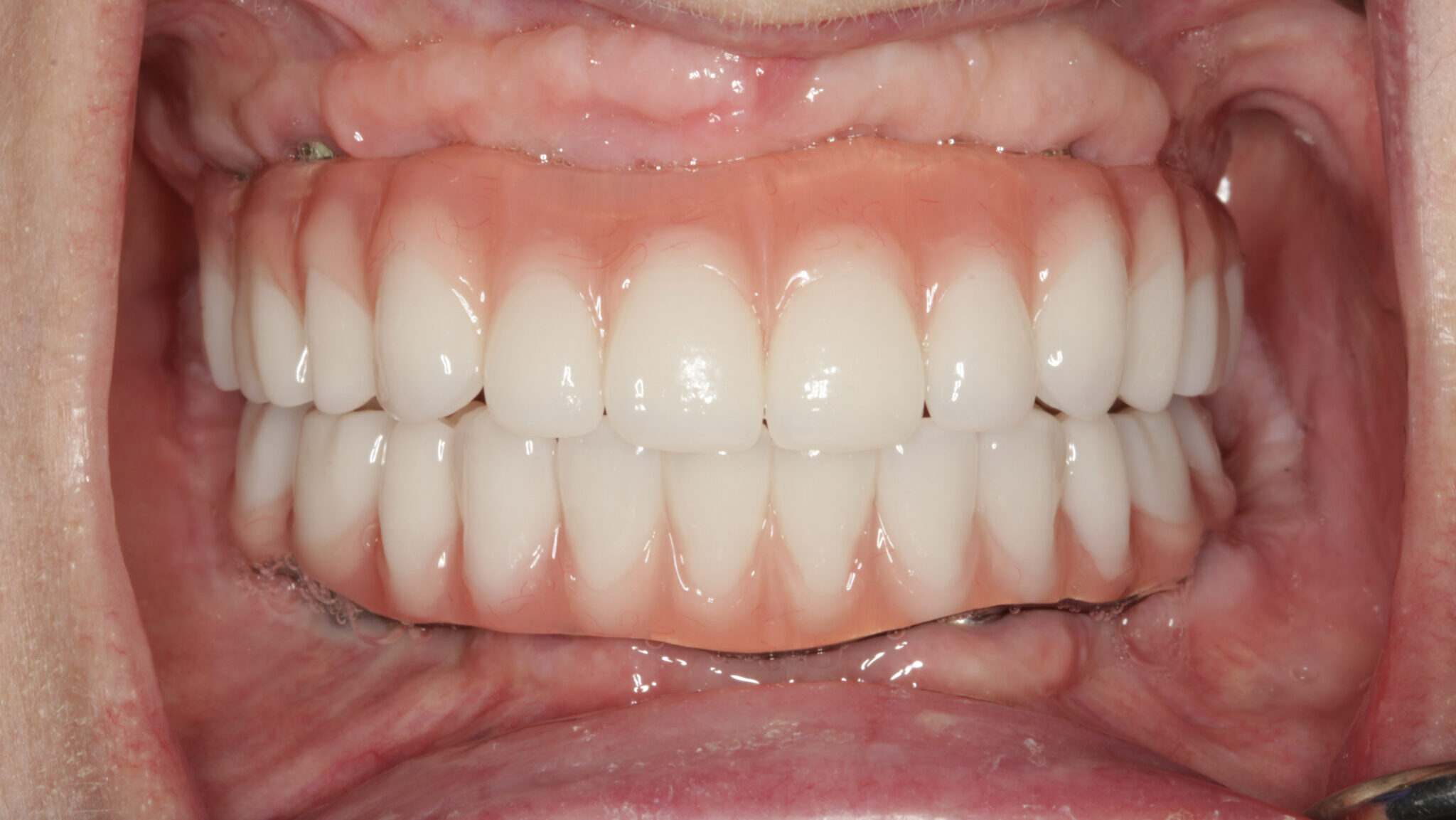
The Best of Both Worlds: A Hybrid Digital-Analog Workflow for a Maxillary Full-Arch Implant-Supported Prosthesis

eic_replace alternate text for this image

Full arch implant-supported fixed protheses have become a highly desired solution for the rehabilitation of patients with terminal dentition or completely edentulous arches. New developments in digital dentistry have enabled practitioners to extract vital information from intraoral scans and cone beam computed tomography (CBCT) to plan and execute fully guided implant placement that is prosthetically … Read more