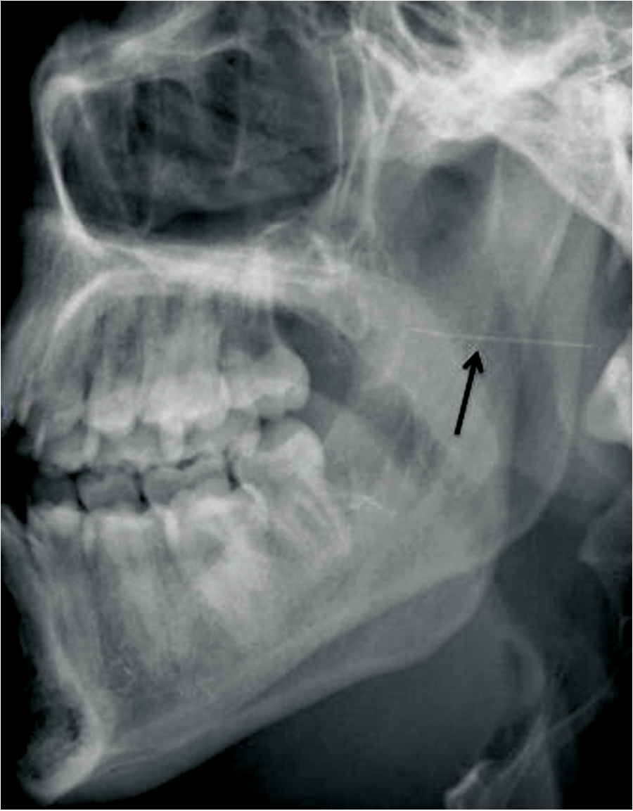
Needle Fracture During Inferior Alveolar Nerve Block: A Case Report of Management Adjacent the Carotid Sheath

Cox Fig1 alternate text for this image

Abstract Administration of an inferior alveolar nerve block is a routine technique in clinical practice. Despite mid-century advancements in armamentarium alloy properties, responsible for a significant decline in needle fracture incidence, cases of needle fracture upon local anesthesia administration continue to be reported. Techniques of prevention are paramount. Management of retrieval may pose a challenge … Read more

Botox® for Reduction of Post-Bone Graft Resorption with Anterior Mandibular Dental Implant Reconstruction: A Preliminary Study

Introduction Patients who are partially edentulous and have a severely resorbed anterior mandibular ridge, either acquired or developmental, often present with significant and challenging problems. These problems include inadequate bone volume for implant supported anterior mandibular fixed prosthetic reconstruction. These deficiencies in bone create significant reconstruction issues for the both the surgical and restorative implant … Read more

Management Of Drug And Alcohol Dependent Patients In Dental Practice

Millar Image5 alternate text for this image

Introduction Alcohol and drug dependence is an ongoing worldwide problem. The effects of alcohol kill 3.3 million people every year. This amounts to 5.9% of all deaths.1 Alcoholic liver disease is at an all time high level, and alcohol is now the third leading cause of ill health after tobacco and high blood pressure in … Read more

Treatment of Fibrous Dysplasia Utilizing Digital Planning

Caminiti Figure 2f alternate text for this image

Introduction The use of digital planning in the practice of oral and maxillofacial surgery has afforded clinicians with enhanced treatment planning capabilities through the fabrication of surgical stents, which results in reduced intra-operative time and improved predictability of surgical outcomes. This method of pre-operative planning utilizes digital imaging data to plan surgery and construct the … Read more

Managing the Minor Oral Surgery Patient on Novel Oral Anticoagulants

Brady Figure 2 alternate text for this image

Abstract A new class of anticoagulants known as ‘NOACs’ (novel or non vitamin K antagonist Oral Anti Coagulants are replacing the more traditional Vitamin K inhibitors – coumadin (warfarin). Other names given to these drugs include direct oral anticoagulants or “DOACs”. These drugs have the same basic effect to reduce the likelihood of clot and … Read more

A New Look At Oral Dysplasia

Renick Fig3 Ebert alternate text for this image

Approximately 300,000 cases of oral cancer are diagnosed annually worldwide1 with an overall mortality of approximately 40 percent in the United States2, predominately because of diagnosis at a late stage3 (Fig. 1). Early diagnosis of localized disease significantly reduces the mortality rate. FIGURE 1. Carcinoma on the right maxillary tuberosity. The most common form of oral … Read more

I NEED HELP…

I suffer from a metacognitive inability known as the Dunning-Kruger effect. I was working with a keen and knowledgeable intern who was suturing a wound in the posterior maxilla. Now, it was a rather difficult area but I gave the intern the room and time to practice this skill. During the 10 minute excursion to … Read more

Dental Visits to The ER

As I return from the hospital emergency room (ER) after seeing yet another patient in dental pain (my fifth this week while on-call and that’s not counting the infections and fractures!), I wonder how we can do better as a dental community by these patients while easing the burden on the emergency department at the … Read more