TEREC, NA Holds Second Meeting for 2013 in Saint Louis, Missouri

TEREC

TEREC, NA (Technical Research Consortium of North America) meets in Saint Louis, Missouri. TEREC is a strategic alliance of leading regional dental laboratories across the United States and Canada. Their member laboratories are independently owned and they supply thousands of dentists with quality products and services. Their 3 day meeting was focused on best practices, … Read more

Mapping Occlusal Decay: The Puzzle is Solved

Figure 15. UL Restoration finished with ET bur UR Restoration polished with Jazz Supreme polisher LL Completed restoration LR Initial Spectra image.

The management of dental decay, its detection, assessment and treatment, is one of the cornerstones of dental practice. The dentist and hygienist spend each workday dealing with the results of the caries process and yet, until recently, we have not had a scientific, accurate, reproducible and clinically significant way to detect the extent and severity … Read more

Successful Light Curing – Not As Easy As It Looks

Figure 10B. Nanohybrid composite resin light-cured in a translucent cylindrical matrix holding the light at a 45 degree angle and within 0.5-mm distance to the top surface of the cylinder-note incomplete depth of cure for the length and the angle due to the position of the curing light (20 seconds of light-curing with LED curing light measured at 1200 mW/cm2).

Dentists assume that activating a light-curing device reliably and predictably light cures restorative materials. There are many factors that must be considered when light-curing resin adhesives, resin-based composites, resin cements, etc., to ensure the quality and durability of the restorations being placed. Clinicians have choices in the light-curing devices they use. Despite appearances that all … Read more

Wireless Digital Sensors

Figure 11. ScanX Swift, a countertop scanner for size 0, 1 and 2 digital PSP sensor.

When digital dental radiography was first introduced in the late 1980s, conventional X-rays had been used for almost a century. Over the years, the radiograph expanded the dentist’s investigative capacity in many ways; it was possible to confirm health, or to detect disease, in many previously invisible areas of concern to the profession including coronally, … Read more

Incandescent to Halogen to Diode: The Evolution of Visual Diagnostics

Figure 10. Illumination at higher level.

Lighting technology has evolved dramatically over the past century. With the introduction of gas and incandescent lighting, dentists were finally able to shed some light on the teeth that they were treating. The illuminated visual access enhanced diagnosis and facilitated more precision in dental procedures. As the use of light-focusing bulbs and light-reflective surfaces matured, … Read more

Bruxism/Snoring Monitor: Measure, Analyze, Categorize and Treat

Figure 4. Report summarizes a patient successfully treated with an oral appliance and no significant bruxism needed.

The diagnosis and management of dental disease implies an effort by the practitioner and the dental team to identify and assess the problem as early as possible. This is consistent with the generally accepted principle that early treatment is likely the most conservative, least invasive, and most likely to achieve optimal results for the patient. … Read more

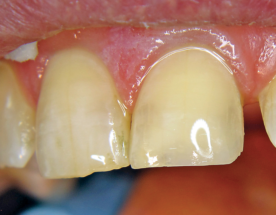
Increased Predictability in Tooth Shade-Matching

Figure 7. By holding the shade tab's incisal edge to the incisal edge of the natural tooth reduces afterimages.

FOUNDATION OF ESTHETIC DENTISTRYCosmetic and esthetic dental outcomes are essential to meet patients’ high expectations and positively influence their self-esteem.1,2 Shape and color determine the aesthetics of both natural and restored teeth.3-6 Attractive restorative and prosthodontic outcomes begin with a consistent buccal shape and silhouette that reflect light.7 The perceived color of natural teeth depends … Read more

Can an Instrument Make a Difference?

Figure 15. Finished and polished with invisible margins.

The simple answer is yes. But to truly understand why it can make a difference it is necessary to understand the problem. There has been a sharp rise in the past decade in the use and direct placement of composite resin restorations. Materials have become stronger, more aesthetic with a wide shade range, and able … Read more

Modifications to Class II GV Black Preparations for Composite Resin

Table 1.

This article follows a previous article titled “Design Principles for Composite Class II Prep­arations,” published in Oral Health December 2012. This article will further illustrate the clinical rendition of the five axioms guiding enamel preparation, and the five axioms guiding dentin preparation, to optimize Class II composite preparations (Figs. 1 & 2). CLASS II ISTHMUS … Read more

Ayuda 2013

Volunteerism

This past April, Doctors Timothy and Melissa Milligan had the privilege of joining forces with AYUDA to provide dental care to an underprivileged population of a town that’s an hour outside of Antigua, Guatemala. AYUDA is the Spanish translation for “help” and that is exactly what this organization strives to do. Founded 47 years ago … Read more

Diagnostic Technologies

Dr. George Freedman is a founder and past president, American Academy of Cosmetic Dentistry; co-founder, Canadian Academy for Esthetic Dentistry; and Diplomate, American Board of Aesthetic Dentistry. Author or co-author of 12 textbooks, including "Contemporary Esthetic Dentistry" (Elsevier), and more than 700 articles, he is a REALITY Team Member. An internationally recognized lecturer on esthetics, technology, and dental materials, he was awarded NYU College of Dentistry's Irwin Smigel Prize in Aesthetic Dentistry. A McGill graduate, Dr. Freedman is a Regent and Fellow of the IADFE and maintains a private practice limited to Esthetic Dentistry in Toronto.

What makes a dentist a dentist? The technical dexterity to repair hard and soft oral structures in a hard to access, and hard to see, oral cavity? The acumen to run a small health-care business effectively and efficiently? The capability to generate sufficient community and online presence to keep existing patients motivated and new patients … Read more

Whip Mix Welcomes Kent Kohli as the New Manager of Dental Technology Solutions

Whip Mix

Whip Mix is excited to welcome Kent Kohli as the new Manager of Dental Technology Solutions.  Kent previously owned & operated Contemporary Dental Aesthetics, LLC, a small, high-end boutique dental studio committed to artistic excellence in all phases of fixed oral prosthetics. His specialties are digital design and workflow in creating functionally driven smile design … Read more

Midmark Corporation Outfits DenMat’s New Dental Learning Center

DenMat

DenMat announced today that it has partnered with Midmark Corporation to outfit DenMat’s new Dental Learning Center at its corporate headquarters in Lompoc, California. The state-of-the art facility is now equipped with a fully functioning Midmark dental operatory and chair for hands-on and live patient education on Lumineers and other on minimally invasive esthetic dental … Read more

Finnish-made medical and dental equipment to Ice Hockey World Championship 2013 in Helsinki and in Stockholm

Planmed

Planmeca Group participates once again in organizing the Ice Hockey World Championships by providing a Planmed Verity® Extremity Scanner and Planmeca CompactTM i dental care unit for the on-site emergency rooms both at Hartwall Arena in Helsinki and Ericsson Globe Arena in Stockholm. Both devices were already used in the Helsinki venue last year. ”As … Read more

Shofu.com is now available in Spanish!

Shofu Dental Corp.

Shofu.com  has recently been enhanced to accommodate our Spanish speaking customers. Comprehensive and precise, the Spanish language section offers the same great product information previously available only in English. Now, our Latin American customers have access to all the relevant information to assist them with choosing the best products for their patients. “Our expanded Spanish … Read more