Online Virtual Study Club announced by Nobel Biocare

Nobel Biocare announces a new Online Virtual Study Club for N. America Nobel Biocare has signed an agreement with My Dental Hub to acquire the exclusive rights to StudyClubConnect.com an online study club for dentists MyDentalHub (MDH) was developed by Dr. Ken Hebel and Dr. Reena Gajjar, of the Hands on Training Institute of London, … Read more

Dentist seeks U.S. class action suit vs. Nobel Biocare

STOCKHOLM (Reuters) – Swiss dental implant maker Nobel Biocare has been sued by a California dentist seeking class-action status on behalf of dentists whose patients have suffered complications such as bone loss from one of its products. A company spokesman said on Monday the NobelDirect dental implant was safe and that Nobel Biocare would fight … Read more

Trends in Implant Markets

The following information was researched and compiled by the Millennium Research Group in Toronto, ON, Canada [416-364-7776; www.mrg.net] Image via Wikipedia From their Executive Summary of the 2009 Implant Report: “The European dental implant market, comprising sales of dental implant fixtures, final abutments, and other tools in Italy,Germany, Spain, France, Sweden, the UK, and Switzerland, … Read more

NobelProcera™ Implant Bar Overdenture

This is a product news release from Nobel and it reads as such….the blog does not promote or support the product……the intent is rather to pursue readership that may wish to share cases (reports) on these products as a component of comprehensive care and direct them to the appropriate editorial consultant at Oral Health. Experience … Read more

Straumann receives technology award

Straumann receives Frost & Sullivan Medical Device Technology of the Year Award for Roxolid® Basel, 18 May 2010:  At an official ceremony in London, Straumann, a global leader in regenerative, restorative and replacement dentistry, was presented with the 2009 ‘Medical Device Technology of the Year Award’ for Roxolid®, an innovative high performance material for dental … Read more

Is there a Tea Party blogger in Canada??

A Dental Shift: Implants Instead of Bridges from the New York Times…….equal time will be allocated for Ms. Palin or her equivalent in Canada The intent of the posting is to elicit discussion and comment. By Jane E. Brody If I have one serious regret about my age, it is that my permanent teeth developed … Read more

Who or what is in the driver’s seat?

Image by enno via Flickr It is no surprise that the market for implant dentistry continues to grow impressively as the result of advances in science and technology and from the purchasing power of the most affluent older generation in U.S. history – the baby boomers. First, let’s acknowledge the tremendous impact of evidence-based research … Read more

Women in Implant Dentistry

From Implant Dentistry – April 2010 – 19(2) – p 91by Misch-Dietsch, Francine DDS, MDS We contributed, and we continue to contribute, to the world of science; and that is for the betterment of the world. “We” are women. This past year, 2009, was especially noteworthy because 3 women were awarded Nobel Prizes in the … Read more

ALD May Improve Successful Implantation of Maxillary Bone for Patients with Estrogen Deficiency and/or Osteoporosis

A new study has established that estrogen deficiency negatively affects implant osseointegration in rats’ maxillary bone. Results from the study also found that alendronate (ALD), an aminobisphosphonate, may improve the quality and quantity of bone available for a successful implant. The study is published in the latest issue of the Journal of Oral Implantology.Bisphosphonates, potent … Read more

BC Dentist Earns Fellowship

Peter Balogh, DDS, of Burnaby, BC was recognized as a Fellow of the American Aademy of Implant Dentistry during its annual meeting in Las Vegas.The Academy is the oldest professional organization in the US dedicated to the advancement of the implant specialty.

Implants in the Premaxilla: Esthetics Is the Goal!

FIGURE 7--Allograft is placed into the socket under the barrier. The palatal flap will be brought over the allograft and tucked into the palatal tissue 'envelope' style again.

When a patient is interested in having implant therapy to replace any teeth in the esthetic zone (especially in the premaxilla), I get a sudden shiver down my spine. Completing the treatment is never the problem, but attaining an esthetic result is always a challenge. There are many items that must be considered on the … Read more

Treatment Plans Related to Key Implant Positions: Three Adjacent Pontics Rule

In the past, treatment planning for implant dentistry was primarily driven by the existing bone volume in the edentulous site. As a consequence, distal cantilevers were often extended from anterior implants to support a full arch implant prosthesis, rather than performing bone augmentation. A second historical phase of treatment planning then developed, based upon esthetics. … Read more

Implant Treatment in Two Appointments From Immediate Placement to Final Prosthesis

ABSTRACT For implant treatment to reach more dentally dysfunctional patients, treatment costs need to be lowered. An effective way to do so is to reduce the number of treatment steps. One-piece, one-surgery implants were used (Tenax Dental Implant System) to treat 10 consecutively selected patients in varying single missing tooth applications. Patients were chosen for … Read more

Narrow-Body Implants Preserve Patients’ Quality of Life

Most people who were chronically bleeding from any part of their body would not hesitate to consult a physician; this is not necessarily the case for bleeding gums. The same holds true for the loss of a body part. For the majority this would be an immediate concern and initiate thoughts on how to replace … Read more

Nobel Biocare’s 3rd World Dental Conference Unique in Scope

Nobel Biocare’s third World Conference was held in Las Vegas from 20-24 May 2007. According to company organizers, the conference attracted 10,000 dental professionals from 91 countries and featured the industry’s most innovative solutions in an all new learning environment. In the dental industry, a conference with 10,000 participants is unique in scale, but what … Read more

A New Chapter in Implant Dentistry

Dr. Nicolucci is president of the Canadian Society of Oral Implantology and is Oral Health's editorial board member for Implantology.

In May of 2008, there is going to be a symposium at the University of Toronto on ‘Osseointegration’. This will be the first time in some twenty five years that the major researchers involved in implant dentistry have regrouped to consider the History of Implant Dentistry and decide the direction that Implant Dentistry will take … Read more

Restoring the Mandibular Arch with Implant Supported 3-unit Fixed Partial Dentures

FIGURE 32--Esthetic and comfortable final result.

ABSTRACT As a patient’s dental awareness and expectations increase they often seek more comfortable and functional solutions to years spent chewing with removable partial dentures. This situation is encountered quite often where the individual has become frustrated with the ongoing troubles with the removable appliance. Concerns often include sore spots or poor fit, esthetics of … Read more

Getting Started with Implantology: The Replacement of One Bicuspid

FIGURE 33--PA of treated case in its fifth year of loaded function.

ABSTRACT Implant treatment has high documented success rates. In a number of common forms of partial edentulism and in all total mandibular edentulism, implant treatment has become the first choice standard of care. General dentists are exploring the possibility of providing complete implant services (surgery as well as the prosthetics) to their patients. Since very … Read more

Implants In the Anterior Mandible — A Case Presentation

CASE 2FIGURE 23--The crown(s) cemented on the abutment.

In the following presentation, I would like to illustrate two different approaches used to restore the anterior mandible which has one or two missing teeth. Although they are totally different approaches, the goal of maintaining bone around the implants and adjacent teeth is attained in both cases. In each of the following cases, there isn’t … Read more

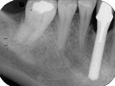
Surgical, Loading and Prosthetic Considerations for Wide Diameter Implants

FIGURE 9--A periapical x-ray demonstrating 4mm diameter implants in the premolar region and a 5mm diameter implant in the molar position.

The initial treatment plan for implant dentistry should include the ideal implant size, based primarily upon biomechanic and esthetic considerations. When a tooth is replaced in traditional prosthetics, the abutment teeth are already provided by nature. For example, the missing posterior teeth have posterior abutments and the missing maxillary anterior teeth have anterior abutments. When … Read more