Re-emerging Technologies

Dr. George Freedman is a founder and past president of the American Academy of Cosmetic Dentistry, cofounder of the Canadian Academy for Esthetic Dentistry, Diplomate of the American Board of Aesthetic Dentistry and Regent of the IADFE. His most recent textbook is "Contemporary Esthetic Dentistry" (Elsevier). Dr. Freedman sits on Oral Health's Editorial Board (Dental Materials and Technology), is a REALITY Team Member and lectures internationally on dental esthetics and technology. A McGill graduate, Dr. Freedman maintains a private practice limited to Esthetic Dentistry in Markham, ON, Canada.

The world of dentistry is constantly changing. Usually for the better. Once very slow to adopt and adapt, dentistry is now one of the fastest-advancing. Some developments have been revolutionary; a single invention, development, or individual radically alters the delivery of care. Most dental innovation is evolutionary, however. A newly introduced concept, material or technique … Read more

The Use of Antimicrobial Photodynamic Therapy in the Treatment of Periodontitis

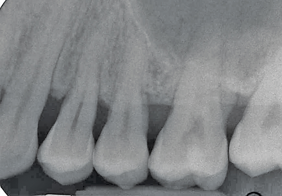
Figure 9D. Two year radiographic follow up hard tissue response.

INTRODUCTIONIt has been known since the beginning of the last century that microorganisms can be killed by various combinations of dyes and light. Ancient Egyptian, Indian and Chinese civilizations used light to treat various diseases, including psoriasis, rickets, vitiligo and skin cancer. In 1901, Niels Finsen used light to treat smallpox and cutaneous tuberculosis and … Read more

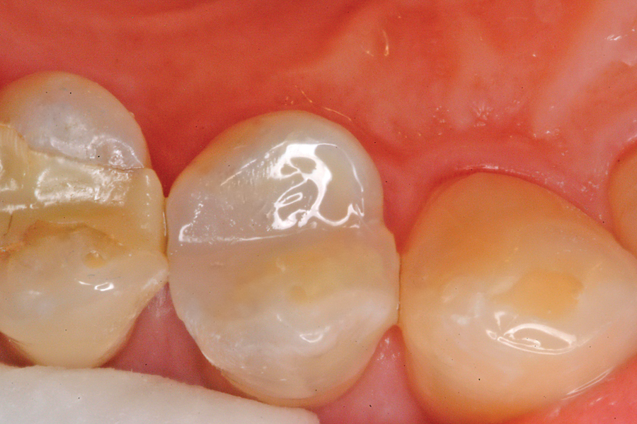
THE PERIMETER PREPARATION

Figure 11. The completed Perimeter Restoration will now serve the patient effectively for many years.

The composite restoration is the basic foundation of the general dental practice. Countless composites are placed by dentists every day. Through the science of adhesive dentistry these restorations can be conservative and provide long term service. With time and function some breakdown may occur, usually at the margin of the restoration, the interface between tooth … Read more

Electrical Caries Scanning

Figure 18.

Dental caries is a major global disease! It is found worldwide, in a majority of the population, and it affects all ages, from the very young to the very old. While increasingly treatable, this condition remains a significant health and financial burden to many individuals, and to the population as a whole. From a dental … Read more

The Aqualizer: Diagnostic Aid and Treatment Modality

Figure 6. Step 3.

Facial pain, TM joint pain, bite difficulties (occlusal pain), muscle soreness and tooth pain are all conditions that dentists see, and are expected to solve, on a daily basis; all too often, the treatment path is neither clear nor certain. Most dental patient treatment involves restorations, endodontic therapy or surgery. In the ideal situation, the … Read more

Implant Home Hygiene

Figure 13. WaterPik Ultra Water Flosser

The demographic data indicates that, in general, individuals are living far longer than they did previously. As longevity increases, so does edentulousness. While improved oral health is enabling many people to maintain their teeth longer into life, some tooth loss does eventually occur. The number of edentulous arches in the population has decreased as a … Read more

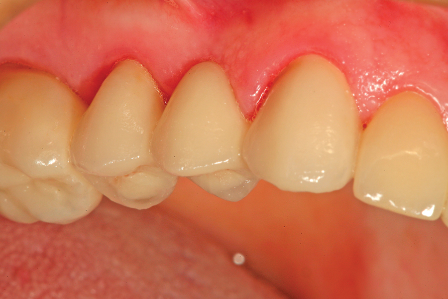
Mastering The Art Of Impression Making

Figure 14. The definitive restoration is shown from the facial aspect.

INTRODUCTION: MASTERFUL FINAL IMPRESSIONSThe excellence and marginal fit of the definitive laboratory restorations can only be as good as the master dies from which they are created. The precision of the master impression is something that cannot be compromised. We often think of this procedure as “basic”, but dental laboratories will many times report that … Read more

Non-Oxidizing Metal Ceramics – A Clinical Approach to Esthetic, Healthy and Practical Solutions

Figure 15. Final Result 3 years postoperatively.

Even though the choices of restorative materials have evolved and expanded, it is still important for a clinician and laboratory to identify materials that will satisfy the esthetic, functional and biological challenges unique to each case. For many situations, contemporary all-ceramic solutions have simplified achieving esthetic outcomes, yet, in many common clinical situations, a metal-based … Read more

DENTAL INTERNET DIRECTORY LISTINGS

ASSOCIATIONS ASSIOCAITION OF DENTAL TECHNOLOGISTS OF ONTARIOThe official voice of Registered Dental Technologists in Ontariowww.ADTO.org CANADIAN DENTAL PROTECTIVE ASSOCIATION  Because bad things happen to good dentists.www.cdpa.com ONTARIO ACADEMY OF GENERAL DENTISTRYQuality of care through life long learning.www.ontarioagd.org TORONTO ACADEMY OF DENTISTRYToronto Meetings Calendar, CE, Winter Clinic, Society Listings, etc.www.tordent.com CONTINUING EDUCATION  FACULTé of orthodontic research & … Read more

American Dental Hygienists’ Association Announces 2012-2013 Leadership

ADHA

Susan Savage, RDH, BSDH, of Ellensburg, Wash., was installed as the 2012-2013 president of the Chicago-based American Dental Hygienists’ Association (ADHA) on June 19, 2012, at the association’s 89th Annual Session held in Phoenix, Ariz. “As the debate about accessing health care takes place across the country, oral health is becoming an instrumental part of … Read more

Orascoptic launches the new Orascoptic Online Loupe Builder.

Orascoptic

Orascoptic is proud to announce the launch of the new Orascoptic Online Loupe Builder. Orascoptic has made it possible for you to build and see your own personal dental loupe before you buy. The Orascoptic Online Loupe Builder allows dental professionals to see their loupe being built in a 3 part process and customize their … Read more

Study Links Gum Disease and HPV-status of Head and Neck Cancer

University of Buffalo

Human Papilloma Virus (HPV), once almost exclusively associated with cancer of the cervix, is now linked to head and neck cancer. According to a new University at Buffalo study just published in the Archives of Otolaryngology — Head & Neck Surgery, a JAMA publication, gum disease is associated with increased odds of tumors being HPV-positive. … Read more

The Canary System detects caries beneath sealants

The Canary System

Quantum Dental Technologies announced today that The Canary System can accurately detect caries beneath dental sealants. Co-Founder and CEO, Dr. Stephen Abrams, DDS, presented the findings at the International Association of Dental Research 90th General Session in Iguacu Falls, Brazil. “The idea to investigate this new application for The Canary System came from our clinicians … Read more

IDS – International Dental Show 2013 registered bookings are excellent

IDS

More than 1,250 companies from over 50 countries have already registered Significantly more confirmations — particularly from abroad — than at the comparable point in the run-up to IDS 2011 Preparations for the 35th IDS – International Dental Show — are running in high gear nine months before the opening of the event. Already over … Read more