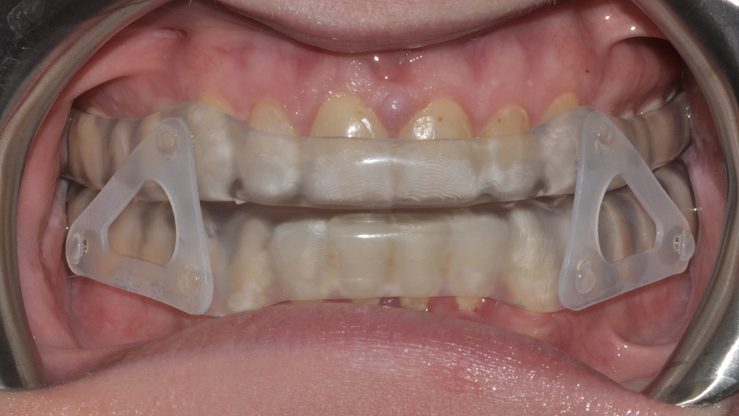
A Day/Night Medical Oral Care Nightguard

gelb_thumbnail alternate text for this image

Nightguards are commonly prescribed by dentists for clenching and grinding problems. Until recently, most nighttime appliances were fabricated solely for the upper arch, in a retruded jaw position, with a flat plane of occlusion and cuspid guidance. Recently, the airVata™ 3-in-1 oral device (New York, NY) was introduced to enhance the management of both daytime … Read more

The Next Level of Patient Care is Navigating the System Itself

Woman in mask sleeping with Cpap machine, concept of healthy sleeping.Sleeping problems and disorders collections. alternate text for this image

Look around and you’ll see a lively debate about “the best way to deal with sleep apnea.” I’ve been thinking a lot lately about the harm that can befall a patient navigating a strange, fractured, and increasingly siloed healthcare environment. I’ve noticed that the term “sleep apnea” means different things to different people. Let’s tour … Read more

Obstructive Sleep Apnea May Be Causing Weaker Teeth in Adults

Obstructive sleep apnea

Research from University at Buffalo found that “Obstructive sleep apnea may be linked to low bone mineral density in adults.” Low bone mineral density is a sign of osteoporosis and increases the risk of fractures. It also affects oral health by causing loose teeth and implant failure. The study, which was included in the November … Read more

Medit and Panthera Dental Announce the Creation of a Fully Integrated Digital Workflow for the Provision of Dental Sleep Devices.

Dentists using Medit’s intraoral scanning technology can now provide high quality treatments for patients suffering from snoring and obstructive sleep apnea (OSA) in just a few clicks, following the addition of new functionality. For the first time, Medit users have a truly integrated digital workflow for the provision of world-class custom-made snoring and OSA treatment. … Read more

Sleep Apnea: a NOT-so-Silent Killer

Sleep Apnea

What dental hygienists need to know to help save lives Obstructive sleep apnea (OSA) is a disorder characterized by upper airway collapse during sleep. OSA is one of the most prevalent sleep disorders and is potentially fatal, affecting approximately 4-9% of the adult population.1 Like most sleep disorders, OSA is unrecognized, underdiagnosed and undertreated with … Read more

COVID-19 Increases Value of Oral Appliance Therapy for Sleep Apnea

Postoperative Complications

Viewpoint: Everyone knows that breathing is mandatory to sustain life, yet we rarely think about it, and often take it for granted! However, the current Flu Pandemic has certainly made us all too aware of its importance. Obstructive Sleep Apnea (OSA) involves compromised breathing during sleep and is most often managed with Positive Airway Pressure … Read more

Pre-orthodontic Intervention for Pediatric Sleep Disordered Breathing: A (R)evolutionary Solution to a Modern Problem

Malocclusion (HM) is a rising public health epidemic that is seen mainly within industrialized/industrializing cultures. To date, there is no published evidence that malocclusion had ever been a significantly observed human trait prior to the Industrial Revolution in Europe and North America during late 18th/early to mid/late 19th-Centuries; its relatively recent appearance as a common … Read more

Managing Sleep Apnea for the Pediatric Patient

sleep-apnea alternate text for this image

Have you ever experienced listening to a grandparent, a parent or a spouse snoring so loud you couldn’t sleep? No matter how hard you tried to ignore it, that’s all you could focus on. Then suddenly, sweet silence! You breathe a sigh of relief because they stopped! However, the only thing that stopped was their … Read more

An estimated 40 million Americans suffer from sleep apnea

Dentists are filling classrooms across the US to learn more about their professional role in the screening and treatment of sleep apnea. Sleep Group Solutions, a pioneer in dental continuing education adds 2 new seminars with juggernaut dental lab, Glidewell Laboratory, to offer attendees a well rounded, ‘show and tell’ seminar experience. Read more: 

Snoring isn’t sexy – who knew?

http://www.snoringisntsexy.com/ Dentistry’s role in the recognition and management of snoring and sleep apnea is largely unknown by the public despite the fact that oral appliance therapy has been approved as first-line therapy for mild to moderate sleep apnea and in cases where the patient cannot tolerate or prefers not to utilize a medically prescribed CPAP … Read more

There is a god; we made the New York Times Sunday Review

IT’S become commonplace to criticize the “Occupy” movement for failing to offer an alternative vision. But the thousands of activists in the streets of New York and London aren’t the only ones lacking perspective: economists, to whom we might expect to turn for such vision, have long since given up thinking in terms of economic … Read more

Simple Analysis of Breathing Sounds While Awake Can Detect Obstructive Sleep Apnea

Science Daily – June 2011 The analysis of breathing sounds while awake may be a fast, simple and accurate screening tool for obstructive sleep apnea, suggests a research abstract being presented in Minneapolis, Minn., at SLEEP 2011,the 25th Anniversary Meeting of the Associated Professional Sleep Societies LLC (APSS). Read more Related articles Differences between obstructive … Read more