Polycystic Ovarian Syndrome and Periodontal Disease: Is There a Link?

oral-health-october-2020 alternate text for this image

What is Polycystic Ovarian Syndrome (PCOS)? When young women experience infrequent or irregular menstrual cycles, it is quite common for them to receive a diagnosis of PCOS from their physician. PCOS affects 4-21% of reproductive age women and is the leading cause of anovulatory infertility.1,2 The most commonly used diagnostic criteria states that women with … Read more

Let Love Rule: Flight 1246, Seat 18A

irene-feb-thumbnail alternate text for this image

Crosscheck complete. Ready for departure from one of the most remarkable adventures I’ve had the privilege of embarking on. I’m faced with the incredibly challenging task of describing what seems to be an indescribable dream; a blur of circumstances sous vide in emotions that I had forgotten I was capable of feeling. Hold your hands … Read more

20/20 Vision on Dental Hygiene

dental hygiene

With the ball drop at midnight and the off-key vocals of “Auld Lang Syne” bidding farewell to 2019, we enter a time of both reflection on what the previous year brought, as well as turning our sights to the future bringing new growth, new challenges and new opportunities. As we enter the year 2020 and, … Read more

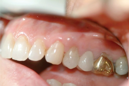
Periodontal And Prosthodontic Management Of Class III Malocclusion: A Case Report

Dubleneau-28—Intraoral-view-of-cemented-tooth-and-implant-crowns alternate text for this image

Introduction Modern implant dentistry has been shown to yield excellent well-documented long-term results, with 10-year success and survival rates above 95%.1 Dentists now have the choice of using an array of preoperative planning tools, both conventional and computer-aided, to help them assess potential rehabilitative treatment solutions for their patients. Diagnostic wax-ups have been a critical … Read more

The Fonthill Implant Care Protocol: A Critical Update

fritz-featured alternate text for this image

It has been eight years since we published our Supportive Periodontal Implant Maintenance Protocol1 which has been shared and implemented in dental practices and hygiene colleges across the globe. With the exciting new periodontal and peri-implant classifications published simultaneously by the American Academy of Periodontology and European Federation of Periodontology, we felt it was necessary … Read more

Peri-Implant Diseases And Conditions: An Executive Summary Of The New Global Classification System For The Busy Dental Professional – Part II

oral health group

In 2017, the world of periodontology was redefined with significant updates to the classification system for periodontal and peri-implant disease. The work of more than 170 leading clinicians, scientists, and educators from around the globe culminated in the publication of 17 articles and four consensus statements summarizing a contemporary, evidence-based and clinically relevant system. This … Read more

Er,Cr:YSGG 2780nm and Diode 940nm Laser-Assisted Treatment of Apical External Resorption with Endodontic Complication in Maxillary Lateral Incisor, Deemed to be Hopeless

Polonsky fig 1 alternate text for this image

Abstract Treatment of external resorption lesions, even without communication with the root canal space, has historically and continues to present challenging situations for general practitioners diagnosing these cases, as well as the specialists expected to treat them. This case report describes a multi-disciplinary approach performed on a maxillary lateral incisor (tooth #22), using a Er,Cr:YSGG 2780nm laser and 940nm diode laser … Read more

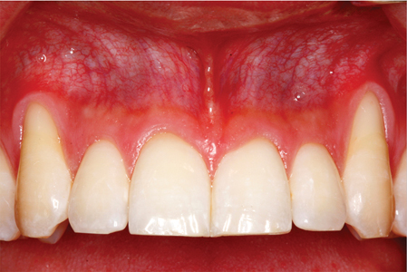
Gingival Grafting: A Novel Approach To Single Stage Augmentation For Root Coverage

Desai fig 9C alternate text for this image

Abstract The existence and preservation of attached keratinized gingiva around natural teeth and dental implants plays an important role in periodontal1 and peri-implant health.46,47 This paper describes a novel surgical technique that addresses multiple adjacent Miller class II and III recession defects5 in a predictable one staged surgical procedure. The goal of treatment is to improve esthetic outcomes, gain clinical attachment … Read more

Soft Tissue Grafting To Improve Aesthetics, To Reduce Dentinal Hypersensitivity, To Improve The Prognosis Of Compromised Teeth And To Augment Edentulous Ridges Prior To The Placement Of Implants

Dubuleanu Fig 11 alternate text for this image

Introduction Over the past two decades, surgeons have shown an increased interest in mucogingival procedures to rehabilitate soft tissues around both teeth and implants, in an attempt to master our shared domain of the oral apparatus.1 A variety of techniques and materials have been studied, and sufficient high-level research exists to guide us in selecting … Read more

Immediate Temporization In The Aesthetic Zone – A Case Report

Doering Fig-17 alternate text for this image

In recent years, measures of success in implantology have significantly changed. Due to the fact that we have assumed functionality of implants as a result of improved osseointegration parameters, the main focus now lies on aesthetic and long-term stable rehabilitation. The imitation of ‘natural’ is the biggest concern and the goal in modern implant dentistry.1 … Read more

Vitamin C Update: Implications for Periodontal Health and Healing

Implant Therapy

PERIODONTITIS AND OXIDATIVE STRESS Periodontitis is a chronic inflammatory disease caused by our body’s immune response to pathogenic bacteria. Periodontitis results in a loss of connective tissue and alveolar bone supporting the teeth and when left untreated, will often result in tooth mobility, pain, swelling and the eventual loss of the involved teeth. The destruction … Read more

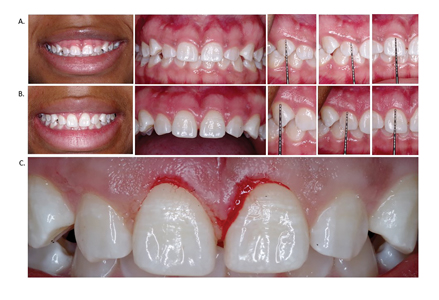
Treating the “Gummy Smile” with Aesthetic Crown Lengthening

Spano Fig. 3 alternate text for this image

The presence of a “gummy smile” can be bothersome for patients and clinicians alike. Approximately, 10% of patients have excessive gingival display when smiling with its presentation more common in women than men (Tjan et al., 1984; Silberberg, 2009). Ideally, when an individual smiles, the gingival display of the maxillary anterior teeth should not exceed … Read more

Commoditization of Education

Implant Therapy

I was perusing the exhibit floor at a major meeting I usually attend yearly and stopped by a booth prompted by an advertisement that caught my attention. A refinement of a long established technique that was supposed to solve all the problems associated with what we all know to be an issue. Learn the technique and … Read more

Toothless in The Galápagos – A Lesson in Adaptation

Implant Therapy

Weighting over 400 kilograms, the Galápagos tortoise1 lumbers slowly above the lush grass, grabs the Azolla (mosquito, duckweed, water-fern and fairy moss) with its fully edentulous jaws (yes that’s right – no teeth for these creatures), squishes out the moisture and swallows the bolus to be slowly digested. Although Charles Darwin had a more-detailed explanation … Read more

Key Phrases for Case Acceptance

Discover the power of the right words……. The vocabulary you use plays a powerful role in whether your patients choose to accept the treatment they need. In Transitions Group’s experience with coaching hundreds of dental practices across North America, we have found these key phrases to be very valuable: We now know … Latest research … Read more

Periodontal Health Leads to Lower Health Care Spending by Diabetics

A new study reports that among American individuals newly diagnosed with type 2 diabetes, a periodontal intervention is associated with lower total healthcare costs (-$1799), lower total medical costs excluding pharmacy costs (-$1577), and lower total type 2 diabetes-related healthcare costs (-$408). The study will be published in the next quarter so details are not … Read more

An Upset Tummy, and Some Upset Teeth

In his popular new book “Happy Gut,” Dr. Vincent Pedre argues that chronic health problems can often be traced to the digestive system and fixed by changing the microbes in our gut. An upset digestive system is, according to Dr. Pedre, an imbalance between the good and bad bugs in the gut, including bacteria, yeasts … Read more