Lessons Learned

oral-health-june-2022 alternate text for this image

I’m sitting at my desk on a Sunday afternoon in March, contemplating the past 24 months. It was around this time in 2020 that I travelled to Malaysia for an annual academic meeting at IMU, our partner university in Kuala Lumpur. I had a slight concern about a newly emerging respiratory virus but believed that … Read more

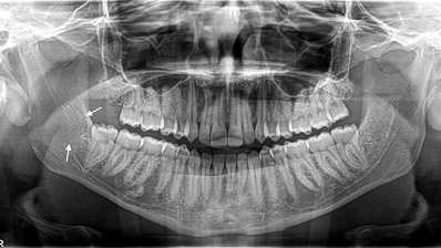
Altered Facial Sensation: Diagnostic Considerations

Lombardi-thumbnail alternate text for this image

Introduction Altered sensation in the head and neck can be associated with a broad array of local, regional, and systemic etiologies. Though there are multiple cranial and cervical peripheral nerves supplying the craniofacial region, neurosensory disturbance of the inferior alveolar nerve (IAN), its terminal branches, and the lingual nerve are most likely to present in … Read more

COVID-19, Oral and Maxillofacial Surgery and TMD

Cannabinoid Medicine

Oral and maxillofacial surgeons and, indeed, all of the dental profession have been living with the COVID-19 pandemic for over sixteen months. The first few months were particularly difficult. Oral and maxillofacial surgical care, and dental care in general, was limited to emergency management only. Despite lockdown and severe restrictions, the ethical commitment in our … Read more

In Memoriam: Dr. Howard I. Holmes 1947-2021

Memoriam-Pynn-Nish-Holmes alternate text for this image

As you enjoy this issue of Oral Health, I would ask that you all observe a moment to honour and celebrate the life of a champion of our Profession. An Oral Health consultant and contributor for over a decade, Dr. Howard Ian Holmes, passed away peacefully on April 18, 2021. Many of you that are … Read more

Burnout in Canadian Oral and Maxillofacial Surgeons

Cannabinoid Medicine

INTRODUCTION Studies on occupational stress in healthcare professionals are not new, however limited information is available on stress impact and ultimately burnout in oral and maxillofacial surgeons and residents.1,2 Occupational stress is the outcome of the clash between job-related factors interacting with personal factors with a resulting change to the individuals’ physical or psychological state.2 … Read more

The Future of Cannabis/Cannabinoid Medicine and Orofacial Pain

Cannabinoid Medicine

Cannabis and cannabinoid medicine has been around for centuries. A growing number of countries have created a legal framework within which cannabis and its plant extracts are now legally accessible. Although it would be great to embrace cannabis today as the molecule that might revolutionize medicine and improve the lives of millions of Canadians suffering … Read more

Is It Time for TikTok? Four Social Media Platforms Dentists Should Be Using in 2021

These days, being “social” is good business. Here’s a quick look at why dental professionals shouldn’t dismiss social media as an integral (and fun) part of their broader marketing strategy. Instagram Why? Because instant connection with your existing and potential future patients provides great practice benefits. In five words, this is your immediate future. (And … Read more

Orthognathic Surgery with Clear Aligner Therapy

Caminiti-Figure-9c-thumbnail alternate text for this image

The rise of the digital age has transformed orthodontics as we know it.1 Due to its increasing popularity, Clear Aligner Therapy (CAT) has become a mainstay of contemporary orthodontics.2 This trend is largely due to the growing demand among prospective patients for more esthetic alternatives to traditional brackets and wires, including those presenting with dentofacial … Read more

Out of Africa: Surgical Skills & Life Experiences

Postoperative Complications

In the 1990s, I initiated a resident exchange between our program at the University of Toronto and the same Oral & Maxillofacial Surgical program at the University of Witswatersrand in Johannesburg, South Africa (RSA). The registrar (resident) from their university (“Wits” for short) and I would switch posts for 3 months, performing the duties we … Read more

An End? Or Simply a Transition…

Postoperative Complications

Viewpoint: As we entered 2020, many of us were looking forward to future travel plans, CAOMS courses and events, using our recently purchased tools and keeping on with our routines. In a few short months, we have been inundated with chat boards, editorials, news media, web blasts, and our government updates. Differing opinions, inconsistent information, … Read more

The First Surgical Robot Designed for Dental Implant Surgery, Yomi®, Surpasses 1000 Implants

Since 2000 more than 4 million robotic-assisted surgeries have taken place across multiple medical specialties including Cardiovascular, Neurology, and Orthopedics. Until the launch of Yomi, the first and only FDA cleared robot-assisted dental surgery system, dentistry has not been able to benefit from this revolutionary technology. Successfully placing dental implants requires careful pre-operative planning and a high … Read more

Optimal Canal Disinfection: Concepts, Materials And Evidence-Based Protocols

mounce feature alternate text for this image

Canal disinfection, controlled memory nickel titanium, CBCT imaging, surgical microscopes, among other advances, have changed the clinical practice of endodontics dramatically in the past 20 years. CBCT provides a three-dimensional pre-operative guide to canal anatomy, which is subsequently interpreted through the microscope clinically (Fig. 1). Controlled memory nickel titanium instruments provide a faster, more predictable, … Read more

Management of Severe Obstructive Sleep Apnea With Maxillomandibular Advancement Surgery

abdallah feature alternate text for this image

Abstract Obstructive sleep apnea (OSA) is a common disorder that causes patients to temporarily stop or decrease their breathing repeatedly during sleep. OSA has been associated with increased morbidity and mortality rates as well as decreased quality-of-life. Certain patients with maxillomandibular abnormalities, such as mandibular retrognathia, suffer from moderate to severe OSA. Although continuous positive … Read more

The MINIE™ Laser Extraction – A Novel Approach To Removal Of Teeth!

desai feature alternate text for this image

Introduction Dentists are bombarded with numerous products from our dental suppliers’ trying to sell us on the fantasy of an “atraumatic tooth extraction”, promising to improve on what we were taught in dental school. This is all in an effort to benefit our practice and the patient’s future implant site. It is our responsibility to … Read more