For those interested in superb clinical endodontics, I refer you to www.theendoblog.com, the effort from a young lad in Eretzonia….that’s an inside joke that a few might get.
This unique weblog is an educational tool for dentists, dental students, dental auxillaries and anyone else with a need to learn everything about clinical endodontics. It is also very much the prototype along with many other blogs developed by people committed to the advancement of their specialty and their profession which will morph into the CLINICAL blog forthcoming on OH. A sample of the postings is below…….your comments can include contribution offers or critique offers so that we can serve our profession better…..
Indications for Intentional Replantation
Success with this treatment is dependent upon atraumatic extraction, minimal manipulation of the periodontal ligament, rapid replacement into the socket, and minimizing occlusal forces following replantation.
While endodontic apical surgery (apicoecotomy) is the most common type of endodontic surgery performed, intentional replantation is an option when apical surgery is not indicated due to anatomical considerations. These may include: proximity to the mental foramen or mandibular canal, thickness of Md buccal bone along oblique line angle, and proximity to Mx sinuses.
I have found intention replantation useful in the following clinical situations:
Cases where endodontic surgery is not an option due to difficult anatomy…
1. Md 2nd Molars – access through buccal bone difficult
2. Md 1st & 2nd Bicuspids – closeness to the mental foramen
3. Mx 2nd Molars – access difficult & sinus complications likely
Cases where conventional retreatment has been unsuccessful or not likely to be successful
1. Cases with ledging and/or separated instruments
2. Retreatment has been attempted without success
Other factors to consider…
The root anatomy has to allow an atraumatic extraction to occur. Conical shaped roots are most ideal.
Intentional replantation provides a treatment option when tooth replacement with an implant or bridge is not feasible.
These patients have already had endodontic therapy, and crowns placed. Costs associated with this additional treatment are minimal compared to cost of tooth replacement.
The following cases demonstrate intentional replantation.
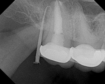
RCT was completed and patient continued to have apical pain. Extrusion of sealer was assumed to be the cause of the apical periodontitis. Close proximity to the mental foramen makes apical surgery contraindicated.
Following atraumatic extraction, the gross overextension of gutta percha is obvious. Apical resection and burnishing of gutta percha completed within minutes.
Tooth replanted and treatment completed.
CASE #2
Non-surgical retx completed and symptoms persist. Discussion with patient of options:
1. Extraction
2. Replantation
Pt understood options and selected intentional replantation.
Atraumatic extraction, immediate resection.
3 month recall. Tooth asymptomatic and completely functional.
Sources:
Pathways of Pulp, 9th edition – online version. p767-768.
